HOME-Au
HOME-Au
24h
24h
USA
USA
GOP
GOP
Phim Bộ
Phim Bộ
Videoauto
VIDEO-Au
Home Classic
Home Classic
Donation
Donation
News Book
News Book
News 50
News 50
worldautoscroll
WORLD-Au
Breaking
Breaking
 

Go Back   VietBF > Others (Closed Forums) > Archive - Old News 2013 (closed)

 
 
Thread Tools
Default Mỹ: Nước máy nhiễm amip ăn não người
Old 09-17-2013   #1
tonycarter
R9 Tuyệt Đỉnh Tôn Sư
 
tonycarter's Avatar
 
Join Date: Dec 2008
Posts: 44,699
Thanks: 262
Thanked 591 Times in 456 Posts
Mentioned: 0 Post(s)
Tagged: 0 Thread(s)
Quoted: 1 Post(s)
Rep Power: 62
tonycarter Reputation Uy Tín Level 2tonycarter Reputation Uy Tín Level 2tonycarter Reputation Uy Tín Level 2tonycarter Reputation Uy Tín Level 2tonycarter Reputation Uy Tín Level 2tonycarter Reputation Uy Tín Level 2
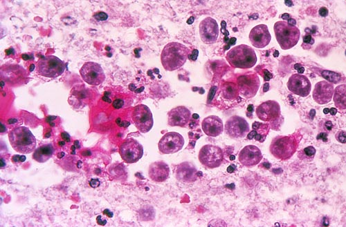
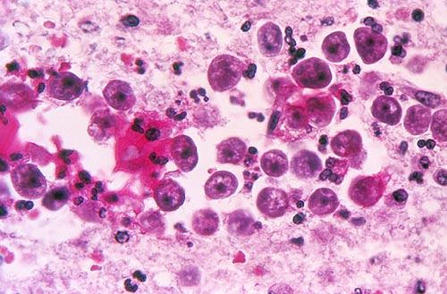
(ABC) - Một cậu bé 4 tuổi ở St. Bernard Parish, Louisiana, Mỹ đã qua đời sau khi nhiễm phải một loại amip chết người xuất hiện trong hệ thống cung cấp nước của thành phố.
Cậu bé này qua đời vì chứng viêm não khiến não bị phình lên sau khi nhiễm phải amip ăn não Naegleria. Loại amip chết người này gây ra chứng viêm não và màng não do amip (PAM), một căn bệnh truyền nhiễm ở não khiến các tế bào thần kinh bị hủy hoại.


Amip ăn não khiến nạn nhân bị tổn thương não nghiêm trọng và qua đời nhanh chóng

Amip ăn não Naegleria thường sống trong môi trường nước ngọt và có thể gây ra bệnh viêm não chết người nếu nạn nhân bị sặc nước chứa mầm bệnh qua đường mũi.
Theo người phát ngôn Sở Y tế Louisiana, cậu bé này bị nhiễm bệnh khi đang chơi cầu trượt nước ở St. Bernard Parish. Kết quả xét nghiệm nước cho thấy amip ăn não xuất hiện trong hệ thống cung cấp nước cho cầu trượt này.
Các nạn nhân thường nhiễm amip ăn não khi bơi lội trong các sông hồ nước ngọt, và rất hiếm khi bị nhiễm mầm bệnh nếu bơi trong nước đã được khử trùng bằng clo.
Theo Trung tâm Kiểm soát và Ngăn ngừa bệnh tật Mỹ, trong vòng 50 năm qua mới chỉ có 128 trường hợp nhiễm amip ăn não người ở Mỹ, trong đó chỉ có 3 người sống sót sau khi mắc phải căn bệnh này.
Sau khi phát hiện amip ăn não người Naegleria trong hệ thống nước sinh hoạt, các quan chức St. Bernard Parish đã bắt đầu cho xúc rửa hệ thống cấp nước của thành phố bằng clo để tiêu diệt các mầm bệnh.
Tuyên bố của cơ quan y tế Louisiana khẳng định: “Hiện nguồn nước máy đủ an toàn để uống được, tuy nhiên các gia đình có thể thực hiện các biện pháp phòng ngừa như khử trùng clo các hồ bơi và tránh để nước vào mũi để tự bảo vệ mình, mặc dù tỉ lệ nhiễm amip ăn não người là rất thấp.”

Con người hiện đại ngày càng tin… ma quỷ?


(Telegraph) - Hàng thế kỷ trôi qua, con người không thể tìm được bằng chứng về sự tồn tại của ma quỷ nhưng nghiên cứu mới lại cho thấy, người Anh ngày càng tin vào các thế lực siêu nhiên.
Đó là kết quả của do công ty nghiên cứu thị trường do YouGov thực hiện và cung cấp với sự tham gia của 2.000 người, theo đơn đặt hàng của Hội nghiên cứu khoa học về hiện tượng dị thường (Assap).
52% số người tham gia cho biết họ tin vào các thế lực siêu nhiên. Đây là một sự gia tăng đáng kể so với hai cuộc nghiên cứu trong năm 2009 và 2005, khi con số này chỉ khoảng 40%.
Dave Wood, Chủ tịch Hội nghiên cứu, cho biết: "Số người tin vào thần thánh, ma quỷ tăng lên là một bất ngờ. Có thể, trong một xã hội có nền kinh tế bất ổn, bị chi phối bởi công nghệ thông tin, nhiều người đang tìm kiếm “nơi nương tựa” trong những điều huyền bí. Giống như họ đã tìm thấy ở tôn giáo trong quá khứ."
Trong khi niềm tin vào ma quỷ tăng lên, số người tin vào sự tồn tại của UFO lại giảm mạnh từ 52% xuống 39% trong năm 2008. Số liệu cũng cho thấy, 1/5 người tham gia đã từng trải qua những sự việc kỳ lạ.
Ông Wood giải thích: "Tôi nghĩ, duy trì niềm tin vào thần thánh, ma quỷ thì dễ dàng hơn vì hầu như ai cũng có người quen (những người đáng kính trọng) đã từng trải nghiệm những hiện tượng khoa học không thể lý giải”.
Ngoài ra, việc nghiên cứu UFO giảm đi cũng là nguyên nhân khiến số người tin vào nó sụt giảm. Số vụ phát hiện UFO đã giảm tới 96% kể từ năm 1988. Năm 2009, Bộ Quốc phòng Anh đóng cửa cơ quan nghiên cứu UFO bởi trong hơn 50 năm theo dõi, họ không phát hiện bất cứ bằng chứng nào cho thấy UFO gây ra mối đe dọa cho Vương quốc Anh.
Theo các nhà khoa học, với hơn 2.000 người tham gia, kết quả nghiên cứu có đủ độ tin cậy để đại diện cho toàn bộ người dân nước Anh.
Cuối tuần trước, Assap đã tổ chức hội nghị ở Đại học Bath (thành phố Bath, hạt Somerset, nước Anh). Diễn giả bao gồm cựu thủ tướng Lembit Öpik, giảng viên đại học và các chuyên gia về hồn ma, UFO, thậm chí là Bigfoot-sinh vật có bàn chân khổng lồ được cho là sống ở phía Tây Bắc của nước Mỹ .
Assap tự nhận là tổ chức từ thiện, nghiên cứu khoa học và giáo dục, được thành lập vào năm 1981. Chủ tịch đầu tiên là diễn viên hài Michael Bentine.


Tông hơp
tonycarter_is_offline  
Attached Thumbnails
Click image for larger version

Name:	amip.jpg
Views:	643
Size:	49.0 KB
ID:	517083  
 
User Tag List


Một ngày ‘đứt mạch’ ở Mỹ: Verizon sập mạng, FBI ập vào nhà phóng viên, AI bị siết và Saks nộp đơn phá sản Iran bên bờ sóng gió, Mỹ cân nhắc ra tay: dầu mỏ – chip AI – vàng bạc cùng rung chuyển Những chuyện hài hước nhất hôm nay
Những lỗ thủng miễn dịch ở Mỹ: miễn trừ vaccine tăng vọt, sởi bùng phát – FDA cũng vừa gỡ cảnh báo ‘ý nghĩ tự tử’ khỏi thuốc gi Một lá phiếu của Vance, một chiến thắng của Trump: Thượng viện chặn nghị quyết siết quyền đánh Venezuela Trump nói Iran “không có kế hoạch hành quyết”, nhưng Trung Đông vẫn nín thở
Hawley “quay xe” phút chót: Trump siết kỷ luật đảng trước lá phiếu War Powers về Venezuela Greenland băng giá dậy sóng: Đan Mạch tăng quân, NATO vào cuộc giữa sức ép “thâu tóm” từ ông Trump “Lằn ranh đỏ” tự đặt: Trump cân nhắc đòn đánh Iran, vùng Vịnh nín thở chờ quyết định
“Vũ hội 400 triệu USD ở Nhà Trắng”: Trump phá East Wing, dự án phòng khiêu vũ gây bão tranh cãi Trump ra lệnh mua 200 tỷ USD “trái phiếu thế chấp”: Lãi vay nhà ở Mỹ sắp hạ nhiệt? Minneapolis dậy sóng sau vụ ICE bắn chết công dân Mỹ: “ICE OUT!” vang giữa băng giá
Iran: Người dân đổ ra đường quyết lật độ chính quyền độc tài Berlin tê liệt giữa băng giá: 100.000 người mất điện vì vụ phóng hỏa bị gọi là “khủng bố” Bóng ma chiến tranh phủ lên bàn đàm phán: Nga dọa đánh thẳng lực lượng Anh–Pháp tại Ukraine
Iran bùng nổ biểu tình vì “không còn mua nổi gì”: đồng tiền rơi tự do, chính quyền chỉ còn… dùi cui Sau vụ đặc nhiệm bắt Maduro: Cabello nổi lên như nhân vật then chốt, Mỹ treo thưởng 25 triệu USD Ký sự phiếu cơm của Vietnam Airlines, Chuyện “claim” bồi thường EU: 600 euro có thật dễ ăn?
Hòa Giải Không Thể Là Mệnh Lệnh: Vì Sao Người Việt Quốc Gia Hải Ngoại Nói Không Bắt Tay Khi “Chính” Không Luôn Thắng “Tà” – Nhưng Lòng Nhân Vẫn Có Thể Cứu Một Đời Người Vĩnh Biệt Thầy Đặng Thông Phong – “Ngọn Núi” Aikido Của Người Việt
Nơi đây yên nghỉ các chiến sĩ lầm đường: Một tấm bia ở Tân Sơn Nhất và bài học về lòng nhân Bi kịch ở phi trường Salt Lake City: Một cơn khủng hoảng tâm thần, một lỗ hổng an ninh, và lá đơn kiện 300.000 USD Bi kịch trong ngôi nhà sang trọng ở Ohio: Nha sĩ và vợ bị bắn chết, hai con nhỏ vẫn an toàn
10 phút tới liền và cái giá phía sau: Hơn 200.000 shipper Ấn Độ đình công đêm giao thừa Biển Baltic lại đứt mạch: Phần Lan bắt tàu nghi kéo neo làm hỏng cáp nối Helsinki–Tallinn Cái cặp bí ẩn, Vecna và lời hẹn cuối: Stranger Things kết thúc trong nước mắt
Đụng ICE ngoài đường: Vì sao những vụ “xe tông xe” đang thành kịch bản đáng sợ ở Mỹ? Mỹ “khóa cửa” drone Trung Quốc: Thế hệ DJI mới chính thức hết đường vào! Mỹ phá cơ sở mại dâm của Trung Cộng đội lốt dưới vỏ kinh doanh massage
Chuyện cười ra nước mắt, dân Hàn Quốc đòi hạ cờ Việt Cộng! vì nhầm là “hàng Tàu” +video Đêm Noel đổi đời: Powerball nổ $1,817 tỷ ở Arkansas, cả nước “rụng tim” theo dõi Đập kính giữa Bolsa: Một buổi chiều mưa, một chiếc xe đen và chiếc “thẻ xanh” bốc hơi
Tranh chấp tiền làm móng ở Georgia: nữ nhân viên bị cáo buộc “giữ” bé trai 8 tuổi để đòi tiền Ngọc Quyên đóng cửa công ty ở Mỹ sau 11 năm: “Đây không phải thất bại” Ông Minh Chính bơ phờ vật vã vì mất chức thủ tướng, thế lực Hưng Yên tước hết toàn bộ quyền lực
Rò Rỉ Nhân Sự Đại Hội 14: Cuộc Mặc Cả Quyền Lực Giữa Công An – Quân Đội? Yamaguchi-gumi Rầm Rộ Họp Cuối Năm: Xã Hội Đen Lớn Nhật Nhật Bản Vẫn Sống Khỏe Giữa Thời “Văn Minh” Công nghiệp đẻ thuê cho tài phiệt Trung Quốc: Khi hộ chiếu Mỹ bị biến thành món hàng
Mẹ Cường "đô la" nguy cơ lại bị bắt Từ hiện tượng "Trumpugee", làm như thế nào để đi ra khỏi nước Mỹ? Kinh tế Việt Cộng nát như tương, Khi Gánh Thuế Nặng Hơn Gánh Hàng: Tiểu Thương Vật Vã Giữa Chợ Vắng Và Dự Án Tỷ Đô
Nhiều "nhà giàu" đi BMW, Lexus, Mercedes bán rau ở Bolsa : Bãi Đậu Xe Hóa Chợ Đuôi Xe Trần Đồng Lan (Lana Condor) – Cô Bé Mồ Côi Cần Thơ Trở Thành Minh Tinh Hollywood Những chuyện hài hước nhất hôm nay
Tướng tình báo Venezuela tiết lộ mạng lưới ma túy – gián điệp cắm sâu vào nước Mỹ? 5 tiểu bang lạnh nhất nước Mỹ (trừ Alaska) – và những nơi mùa đông ‘dễ thở’ cho người Việt Đàm phán Miami: Trump sốt ruột tìm hòa bình, Putin ung dung chờ thắng chậm
Khi Trump tái khởi động ‘chiến tranh ma túy’: từ tàu ma túy bị bắn chìm đến nỗi mất ngủ ở Caracas Mỹ thời Trump: Trục xuất người Iran về ‘địa ngục’, rồi dùng drone Iran để đánh Iran Donald Trump và học thuyết mới: Mỹ không còn làm ‘cảnh sát toàn cầu’
GDP giảm 0,1% và những con người mất trắng 100% sau bão lũ Michael và Susan Dell donate 6,25 tỷ USD vào “Tài khoản Trump”: Kho báu cho trẻ em Mỹ hay chỉ là cú khuyến đẻ kể cho vui? Đường sắt cao tốc 61 tỷ USD và ‘doanh nhân xù nợ’ 30 triệu
Những chuyện hài hước nhất hôm nay Mailisa bất ngờ “đóng cửa” giữa bão điều tra: Đế chế làm đẹp nghìn tỷ khép lại MAGA Đen - MAGA Đỏ - Giấc mơ đế chế dữ liệu của Peter Thiel và giới trọc phú công nghệ
Ánh đèn hiên nhà trong đêm bão tuyết: câu chuyện Lễ Tạ Ơn kỳ diệu sau 41 năm Xả súng gần Nhà Trắng: Bi kịch Lễ Tạ Ơn và cuộc chơi chính trị của Trump với hồ sơ di dân Afghanistan Từ Frankenstein đến Game of Drones: Khi công nghệ biến chiến tranh thành cuộc hỗn loạn vĩnh viễn
Biển lửa Wang Fuk Court: 65 người chết, Hồng Kông choáng váng trước “thảm họa giàn giáo tre” Biển lửa Wang Fuk Court: Thảm họa người già Hồng Kông và cuộc điều tra “sự cứu thả chết người” Chết cháy hàng loạt tại Hồng Kông, các toà nhà biến thành địa ngục, hàng trăm người mất tích
Black Friday ảm đạm ngoài phố, rực lửa trên livestream: Người Việt đổi kiểu săn sale Cánh tay phải của Zelensky ngã ngựa: Ukraine bị ép chọn giữa danh dự và đồng minh Tryptophan trên tiểu hành tinh Bennu: Phát hiện mới cho thấy “công thức sự sống” đến từ vũ trụ
Trump, Donetsk và “thỏa thuận không thể”: Ukraine bị ép vào góc hẹp của một nền hòa bình đẫm máu Từ Stalin tới Putin: 86 năm sau, bóng ma chiến tranh mùa đông vẫn ám ảnh đế quốc Nga Putin khen kế hoạch hòa bình của Mỹ nhưng dọa chiếm thêm đất nếu Kyiv không rút quân
Trump siết nhập cư sau vụ nổ súng: Rà soát toàn bộ thẻ xanh từ 19 “quốc gia đáng lo ngại” Thảm họa cháy chung cư ở Hong Kong: 128 người chết, hàng trăm người mất tích và những câu hỏi nhức nhối Cô gái Brazil bị trục xuất và nghịch lý cay đắng ngay trong gia đình phát ngôn viên Nhà Trắng
Đi Tesla “chôm” bưu kiện ở Irvine Kinh tế Nga gió ngược nhưng Putin chưa xuống thang California trước nguy cơ khát xăng
Ông Trump lạc đề Trước Trung ương 15 và Đại hội XIV Bóng đá lên hương, bụng dân vẫn lép
Người hùng trong vụ xả súng khủng bố ở Úc Biển Charlie Kirk Way dưới All American Way CPI rớt mạnh xuống 2,7%
Thời mafia lộng hành: Donald Trump và Vladimir Putin biến nền ngoại giao cổ điển trở thành chuyện làm ăn Sáu câu hỏi của thế hệ sau chiến tranh: Giải phóng ai, giải phóng khỏi điều gì? Báo động ngành nails: 5 người bị bắt, 2 tiệm niêm phong, chủ đối mặt án tù vì thuê người không giấy tờ
VinFast ở North Carolina đứng trước nguy cơ bị “thu hồi đất vàng”, Vingroup quay xe sang Ấn Độ với canh bạc 3 tỷ USD Bệnh khoe của và cơn nghiện “chứng tỏ mình” của người Việt thời mạng xã hội Khi Nhật Bản đứng trước cám dỗ hạt nhân: Bao lâu nữa Tokyo phải tự võ trang?
Sài Gòn “chập mạch” dễ thương: thành phố không thiếu tiền, chỉ dư tình người Zelensky tuyên bố sẵn sàng bầu cử giữa làn đạn, bác cáo buộc “trốn phiếu” của Trump Lời hứa muộn màng của người lính cũ
Khi doanh nghiệp Mỹ nổi loạn vì thuế quan Trump muốn học mô hình hưu trí “super” của Úc: Bắt buộc tiết kiệm cho tuổi già Từ cô thợ nails tị nạn đến chủ nhân căn nhà đắt nhất Atlanta
Thuế mới, phố vắng, chợ buồn: Nếu tiểu thương gục ngã, ai bán hàng cho 100 triệu dân? K+ khép lại sau 16 năm: Đế chế bóng đá trả tiền tàn cuộc chơi Người Vợ Lực Lượng Đặc Biệt – Hồi ức về Thiếu Tá Hồ Đăng Nhựt trong mùa Quốc Nạn
Viên tướng nhỏ thó gánh oan khiên Mậu Thân John Riordan – người Mỹ quay lại Sài Gòn để cứu 105 người Việt Evergrande: Từ đế chế số 1 đến quả bom nợ – Bài học nào cho Việt Nam?

 
Lên đầu Xuống dưới Lên 3000px Xuống 3000px

iPad Videos Portal Autoscroll

VietBF Music Portal Autoscroll

iPad News Portal Autoscroll

VietBF Homepage Autoscroll

VietBF Video Autoscroll Portal

USA News Autoscroll Portall

VietBF WORLD Autoscroll Portal

Home Classic

Super Widescreen

iPad World Portal Autoscroll

iPad USA Portal Autoscroll

Phim Bộ Online

Tin nóng nhất 24h qua

Tin nóng nhất 3 ngày qua

Tin nóng nhất 7 ngày qua

Tin nóng nhất 30 ngày qua

Albums

Total Videos Online
Lên đầu Xuống dưới Lên 3000px Xuống 3000px

Tranh luận sôi nổi nhất 7 ngày qua

Tranh luận sôi nổi nhất 14 ngày qua

Tranh luận sôi nổi nhất 30 ngày qua

10.000 Tin mới nhất

Tin tức Hoa Kỳ

Tin tức Công nghệ
Lên đầu Xuống dưới Lên 3000px Xuống 3000px

Super News

School Cooking Traveling Portal

Enter Portal

Series Shows and Movies Online

Home Classic Master Page

Donation Ủng hộ $3 cho VietBF
Lên đầu Xuống dưới Lên 3000px Xuống 3000px
Diễn Đàn Người Việt Hải Ngoại. Tự do ngôn luận, an toàn và uy tín. Vì một tương lai tươi đẹp cho các thế hệ Việt Nam hãy ghé thăm chúng tôi, hãy tâm sự với chúng tôi mỗi ngày, mỗi giờ và mỗi giây phút có thể. VietBF.Com Xin cám ơn các bạn, chúc tất cả các bạn vui vẻ và gặp nhiều may mắn.
Welcome to Vietnamese American Community, Vietnamese European, Canadian, Australian Forum, Vietnamese Overseas Forum. Freedom of speech, safety and prestige. For a beautiful future for Vietnamese generations, please visit us, talk to us every day, every hour and every moment possible. VietBF.Com Thank you all and good luck.

Lên đầu Xuống dưới Lên 3000px Xuống 3000px

All times are GMT. The time now is 04:23.
VietBF - Vietnamese Best Forum Copyright ©2005 - 2026
User Alert System provided by Advanced User Tagging (Pro) - vBulletin Mods & Addons Copyright © 2026 DragonByte Technologies Ltd.
Log Out Unregistered

Page generated in 0.09926 seconds with 13 queries