HOME-Au
HOME-Au
24h
24h
USA
USA
GOP
GOP
Phim Bộ
Phim Bộ
Videoauto
VIDEO-Au
Home Classic
Home Classic
Donation
Donation
News Book
News Book
News 50
News 50
worldautoscroll
WORLD-Au
Breaking
Breaking
 

Go Back   VietBF > World Box| Thế Giới > Vietnam News | Tin Việt Nam > 2005-2023 Vietnam News


 
 
Thread Tools
  #1  
Old  Default Sau nhiều ngày ho, khó thở, phát hiện ra bệnh hiếm
Phát hiện bệnh hiếm sau nhiều ngày ho, khó thở. Một người đàn ông 42 tuổi ở Quảng Nnh ho nhiều, khó thở, cơn đau tăng lên khi nằm ngửa, bác sĩ khám phát hiện bị nhão cơ hoành - một bệnh hiếm gặp.

Kết quả chụp cắt lớp vi tính tại Bệnh viện đa khoa tỉnh Quảng Ninh cho thấy vòm hoành phải của bệnh nhân cao, gan di chuyển lên trên gây xẹp thụ động nhu mô phổi lân cận. Bác sĩ chẩn đoán bệnh nhân bị nhão cơ hoành phải, chỉ định phẫu thuật nội soi tạo hình cơ hoành.

Ngày 14/8, bác sĩ Phạm Việt Hùng, Trưởng khoa Ngoại, Bệnh viện đa khoa tỉnh Quảng Ninh, đánh giá đây là ca khó và trường hợp bệnh nhân này rất hiếm gặp, không mắc bệnh lý nền khác.

Sau khi gây mê nội khí quản, bác sĩ rạch các vết nhỏ kích thước 1-1,5 cm trên lồng ngực bệnh nhân để đưa dụng cụ nội soi vào cơ thể, phát hiện thùy dưới phổi phải dính vào cơ hoành, vòm hoành mỏng, gan thoát vị một phần lên trên chèn ép phổi. Các bác sĩ tiến hành gỡ dính đáy phổi ra khỏi cơ hoành, mở một đường nhỏ để khâu gấp nếp tạo hình cơ hoành.

Hiện, sức khỏe bệnh nhân ổn định, hết khó thở, ăn uống đi lại bình thường và chuẩn bị xuất viện.

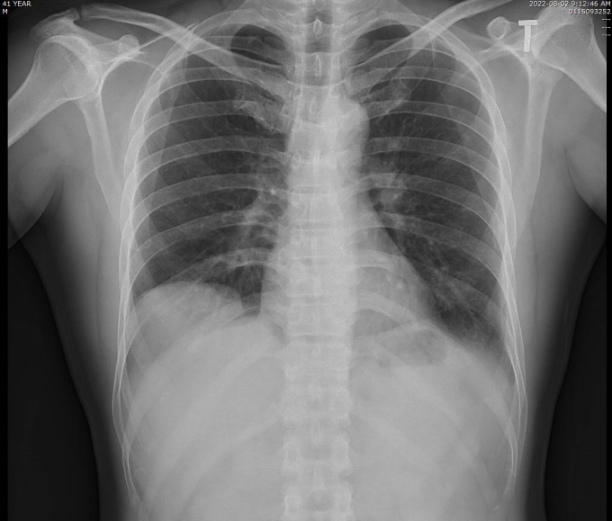
Hình ảnh X-quang phổi của bệnh nhân bị nhão cơ hoành khiến tạng dưới ổ bụng di chuyển lên trên gây xẹp thùy dưới phổi phải. Ảnh: Bệnh viện cung cấp

Cơ hoành là phần cơ hình vòm, ngăn cách giữa khoang ngực có chứa tim, phổi với khoang bụng chứa các cơ quan trong ổ bụng. Cơ hoành là cơ chủ yếu của hệ hô hấp, nâng đỡ và hỗ trợ con người hít thở bình thường trong mọi trạng thái. Khi bị khiếm khuyết, cơ hoành chỉ như một miếng màng mỏng, mất trương lực và không co giãn được. Khi đó các cơ quan trong ổ bụng sẽ dễ dàng đẩy cơ hoành bị nhão lên trên và chèn ép lên phổi khiến người bệnh khó thở.

Bác sĩ cho biết nhão cơ hoành là bệnh lý hiếm gặp, khó phát hiện và dễ bị chẩn đoán nhầm với các bệnh khác, như nang thùy dưới phổi, viêm phổi, bệnh phổi biệt lập... do các triệu chứng không đặc trưng, thường phát hiện tình cờ khi chụp X-quang phổi.

Nhão cơ hoành trái và phải có triệu chứng khác nhau. Nhão cơ hoành phải gây khó thở, đau tức ngực, viêm phổi...; còn nhão cơ hoành trái gây đau vùng mũi ức hay hạ sườn trái, ợ hơi, buồn nôn nhất là sau khi ăn no, rối loạn tiêu hóa.

"Đây không phải bệnh cấp cứu nguy hiểm, tuy nhiên nhão cơ hoành là nguyên nhân gây ra nhiều bệnh khác như khó thở kéo dài dẫn đến suy hô hấp, viêm phổi, rối loạn tiêu hóa...", bác sĩ nói. Nếu không phát hiện đúng bệnh mà chỉ điều trị triệu chứng, người bệnh dễ bị tái phát nhiều lần, cơn đau dai dẳng gây ảnh hưởng đến sức khỏe và chất lượng cuộc sống.

Để điều trị triệt để bệnh lý này, phẫu thuật nội soi tạo hình cơ hoành là phương pháp tối ưu. Người bệnh nên lựa chọn cơ sở y tế có chuyên khoa sâu về lồng ngực, tránh nguy cơ biến chứng có thể gặp trong và sau phẫu thuật như chảy máu, nhiễm trùng, tràn máu tràn khí màng phổi, tái phát bệnh, suy hô hấp phải nằm thở máy lâu dài.

VietBF@ sưu tập
Dịch trang: EnglishEnglish DeutschDeutsch FrançaisFrançais EspañolEspañol ItalianoItaliano PortuguêsPortuguês
NorskNorsk NederlandsNederlands DanskDansk SuomiSuomi PolskiPolski ČeštinaČeština РусскийРусский
日本語日本語 한국어한국어 中文(简体)中文(简体) 中文(繁體)中文(繁體) MagyarMagyar TürkçeTürkçe
العربيةالعربية ไทยไทย LatinaLatina हिन्दीहिन्दी Bahasa IndonesiaBahasa Indonesia Bahasa MelayuBahasa Melayu
VIETBF Diễn Đàn Hay Nhất Của Người Việt Nam

HOT NEWS 24h

HOT 3 Days

NEWS 3 Days

HOT 7 Days

NEWS 7 Days

HOME

Breaking News

VietOversea

World News

Business News

Car News

Computer News

Game News

USA News

Mobile News

Music News

Movies News

History

Thơ Ca

Sport News

Stranger Stories

Comedy Stories

Cooking Chat

Nice Pictures

Fashion

School

Travelling

Funny Videos

Canada Tin Hay

USA Tin Hay

VietBF Homepage Autoscroll

VietBF Video Autoscroll Portal

Home Classic

Home Classic Master Page

VietBF iPad Music Portal

Tin nóng nhất 50h qua

Phim Bộ Online

Phim Bộ
Dịch trang: English | Deutsch |
Français | Español | Italiano |
Português | Norsk | Nederlands |
Dansk | Suomi | Polski |
Čeština | Русский | 日本語 |
한국어 | 中文(简体) | 中文(繁體) |
Magyar | Türkçe | العربية |



pizza
R11 Tuyệt Thế Thiên Hạ
Release: 08-15-2022
Reputation: 237174


Profile:
Join Date: Sep 2014
Posts: 107,839
Last Update: None Rating: None
Attached Thumbnails
Click image for larger version

Name:	261.jpg
Views:	0
Size:	149.1 KB
ID:	2097230  
pizza_is_offline
Thanks: 7
Thanked 8,116 Times in 7,226 Posts
Mentioned: 6 Post(s)
Tagged: 0 Thread(s)
Quoted: 41 Post(s)
Rep Power: 130
pizza Reputation Uy Tín Level 10pizza Reputation Uy Tín Level 10pizza Reputation Uy Tín Level 10pizza Reputation Uy Tín Level 10pizza Reputation Uy Tín Level 10pizza Reputation Uy Tín Level 10pizza Reputation Uy Tín Level 10
pizza Reputation Uy Tín Level 10pizza Reputation Uy Tín Level 10pizza Reputation Uy Tín Level 10pizza Reputation Uy Tín Level 10pizza Reputation Uy Tín Level 10pizza Reputation Uy Tín Level 10pizza Reputation Uy Tín Level 10pizza Reputation Uy Tín Level 10pizza Reputation Uy Tín Level 10pizza Reputation Uy Tín Level 10pizza Reputation Uy Tín Level 10pizza Reputation Uy Tín Level 10pizza Reputation Uy Tín Level 10pizza Reputation Uy Tín Level 10pizza Reputation Uy Tín Level 10pizza Reputation Uy Tín Level 10pizza Reputation Uy Tín Level 10pizza Reputation Uy Tín Level 10pizza Reputation Uy Tín Level 10pizza Reputation Uy Tín Level 10pizza Reputation Uy Tín Level 10pizza Reputation Uy Tín Level 10
Dịch trang: EnglishEnglish DeutschDeutsch FrançaisFrançais EspañolEspañol ItalianoItaliano PortuguêsPortuguês
NorskNorsk NederlandsNederlands DanskDansk SuomiSuomi PolskiPolski ČeštinaČeština РусскийРусский
日本語日本語 한국어한국어 中文(简体)中文(简体) 中文(繁體)中文(繁體) MagyarMagyar TürkçeTürkçe
العربيةالعربية ไทยไทย LatinaLatina हिन्दीहिन्दी Bahasa IndonesiaBahasa Indonesia Bahasa MelayuBahasa Melayu
 
User Tag List


Ông trùm “đế chế Prince Group” bị trục xuất về Trung Quốc: vụ bắt người làm rung chuyển mạng lưới lừa đảo xuyên biên giới Caribbean dậy sóng: Mỹ bắt thêm tàu dầu, Trump hủy “làn sóng 2” và gọi các ông lớn dầu khí vào Nhà Trắng Minneapolis sau phát súng của ICE: Thành phố dựng rào, đặt hoa… rồi hẹn nhau im lặng lúc 10 giờ sáng
Iran chìm trong “bóng tối internet”: Làn sóng phẫn nộ dâng lên, Khamenei cứng giọng Một phát súng, cả thành phố nghẹt thở: Người dân Minnesota xuống đường đòi công lý cho Renee Good Việt Kiều về Việt Nam sống, sao lại trở lại Mỹ: câu chuyện “hồi hương” kinh hoàng như ác mộng
Lộ danh tính nhân viên ICE nổ súng ở Minneapolis: vì sao chính quyền liên bang bị tố “che tên, chốt tội” quá sớm? Vụ ICE bắn chết phụ nữ ở Minneapolis: DHS vội gọi “khủng bố nội địa”, video lại cho thấy nhiều góc khuất Ăn “đồ có chất bảo quản” mỗi ngày: Nghiên cứu Pháp cảnh báo tăng nguy cơ ung thư và tiểu đường type 2
Thế giới chấn động trước ‘cú ra tay’ của Trump, bắt sống trùm Cộng Sản Nam Mỹ Mỹ tổng tấn công Gia Lạp Gia Tư, bắt sống Maduro, chế độ độc tài Cộng Sản Uy Nội Thụy Lạp sụp đổ Maduro nhà độc tài Cộng Sản đã bị bắt, bao giờ tới lượt họ Tô?
Rubio nói đã xác nhận Maduro bị bắt để đưa sang Mỹ xét xử: Caracas im ắng sau đêm “hành động quân sự” Từ đồng minh thành đối thủ: Saudi tấn công lô hàng UAE ở Yemen, ‘cuộc chiến ủy nhiệm’ đổi màu Sống trong bóng tối 16 giờ mỗi ngày: Ukraine mùa đông lạnh và cuộc chiến ‘bóp nghẹt điện, nước, hơi ấm’
Đêm Caracas rực lửa: Trump tuyên bố Mỹ tấn công Venezuela, Maduro và vợ bị bắt đưa khỏi đất nước Trump “khóa nòng” cảnh cáo Iran: Lời đe dọa lúc 3 giờ sáng và cái bóng của một cuộc can thiệp Vĩnh Biệt Man Phan – Người Marine Gốc Việt Và “Phù Thủy Excel” Ở DCMA
Việt kiều về nước mua vé business, không ngờ bị Việt Cộng đẩy xuống ngồi hạng bét, nguyên nhân thật hãi hùng Đàn ông Việt ở Mỹ vs đàn ông ở Việt Nam: rửa chén hay rửa… cái tôi? Bách chiến kiêu hùng, ông gốc Việt đi chiến xa giữa lòng nước Mỹ
Ra phi trường rồi mới biết không xuất cảnh được, lý do thật bất ngờ ở 'thiên đường' Việt Cộng “Tôi sẽ tiếp tục vận động đòi tự do”: Derek Trần gửi thông điệp Giáng sinh cho TNLT Việt Nam Little Saigon dậy sóng
Những nguyên nhân khiến Chiến dịch của quân đội thất bại lật đổ Thế Lực Hưng Yên Châu Âu tỉnh giấc muộn: “Nếu chiến tranh tới trong 3–5 năm, ta đã sẵn sàng chưa?” Từ sân khấu thành chiến tuyến, một cái tên, một cơn sóng: “Trump Kennedy Center” và buổi diễn Giáng Sinh bị hủy phút chót
Trump kiện BBC đòi 10 tỷ đô: đòn dằn mặt báo chí hay cuộc chiến danh dự thật sự? Ba người hùng đã mãi mãi ngã xuống khi ra tay ngăn chặn 2 tên khủng bố ở bải biển Bondi, Úc Mỹ tràn ngập người thất nghiệp, năm tệ nhất từ sau đại dịch
Tiền ảo nhà Trump mất sạch giá trị, Melania coin mất 99%, bong bóng cổ phiếu sụp đổ và bài toán “nước Mỹ giàu lắm” Ford thắng lớn với xe xăng, “để đó” xe điện – và vì sao giấc mơ xe tí hon giá rẻ vẫn xa tầm tay người Mỹ Little Saigon Landmark Seattle: “Ngôi nhà neo đậu” mới cho cộng đồng người Việt
Boba & Beans – Quán ăn Việt thắp hương quê giữa trung tâm Meriden Bellaire Market District 100 triệu USD: ‘Chợ 3 Miền’ đưa Little Saigon Houston bước sang trang mới Hà Nội xếp hàng thẳng tắp: khi camera AI dạy lại văn hoá đèn đỏ
Tổng thống ‘Hòa Bình’ và những biên giới đỏ lửa: Thái–Miên, Pakistan–Afghanistan và vở kịch giải thưởng cho Trump Chernobyl lại báo động đỏ: Lá chắn thép 2,1 tỷ euro bị drone đánh thủng, IAEA cảnh báo mất chức năng an toàn Paris lại đăng quang, Bangkok đông nghẹt, Viêng Chăn vẫn lặng lẽ: Bản đồ du lịch 2025 giữa kỷ lục mới và những góc bình yên
Trump Thắng Lớn Trong Cuộc Chiến ‘Bãi Nhiệm Không Cần Lý Do Vì Sao Tôi Chống Trump: Từ Nước Mắt Trong ICU Đến Chiếc Ô Đỏ MAGA Và Trò Hề ‘Giải Hòa Bình’ Từ Okinawa đến màn hình điện thoại: Trung Quốc leo thang quân sự, siết kiểm soát số và cuộc chiến bóng ma quanh Đài Loan
Cú quay đầu của lá phiếu Latino: từ ‘kỳ tích’ Trump 2024 đến khối cử tri dao động nhất nước Mỹ Cộng đồng Somali ở Minnesota đứng dậy giữa bão trục xuất Trung Quốc ăn cắp máy quang khắc bất thành – vì sao ‘đốt cháy giai đoạn’ trong ngành chip là chuyện bất khả?
Cú “cắn ghế” thần tốc ở Hà Nội: Mailisa, Doctor Magic và ván cờ phe phái Ngân sách tăng thuế của Labour và nước Anh nơi 1/3 trẻ em sống trong nghèo đói Đĩa mì Ý ở Mỹ trước bão thuế 107%: từ “xa xỉ phẩm 4 đô” đến nỗi lo mất luôn món ăn bình dân
Mùa mua sắm Mỹ thời bão giá: Macy’s, Old Navy, Walmart xoay xở, Sears hấp hối – trong khi Đài Loan bứt tốc nhờ cơn sốt AI Tịch thu 100 sổ đỏ, 300 cây vàng SJC, 400k USD, 3 tỷ đồng của Mailisa và còn nhiều nữa, siêu xe hàng tá, tiền hàng ...tấn Giáo hoàng Leo XIV kêu gọi chấm dứt lợi dụng tôn giáo cho chiến tranh trong chuyến công du Thổ Nhĩ Kỳ – Li Băng
Louvre tăng giá vé 45% với khách ngoài châu Âu: bức tranh đắt đỏ mới của “ngôi đền nghệ thuật” Paris Bão Mặt Trời đe dọa buồng lái: hơn 6.000 máy bay Airbus A320 phải sửa gấp vì nguy cơ mất kiểm soát 10 ngày ở ghế Chủ tịch Hà Nội: Nguyễn Đức Trung và bài toán nhân sự trước Đại hội 14
Nếu VinFast thua sạch ở Mỹ: Hoá đơn có thể lên tới 1,5 tỷ USD Từ Việt Minh đến Chuyên Chính Đỏ: Chiến lược che giấu và thanh trừng có chủ đích Từ Nội Chiến Mỹ đến Việt Nam: Hai cách đối xử với người lính bại trận
“Hãy công bố kết quả MRI đi!” – Tim Walz dội gáo nước lạnh vào cơn thịnh nộ Lễ Tạ Ơn của Donald Trump Từ Vệ Binh Quốc Gia đến Quân Lực Việt Nam Cộng Hòa – hành trình một đạo quân quốc gia “Người Cày Có Ruộng” – ngày vui nhất đời Tổng thống Thiệu và ký ức tem thư của một thằng bé Sài Gòn
Tiền tuyến rực lửa, bàn đàm phán nóng lên: Ukraine vạch lằn ranh đỏ trước kế hoạch hòa bình của Trump Starbucks – Target và ly socola bạc hà cứu vãn mùa Giáng sinh ảm đạm Phố thời trang tắt đèn trước Tết: Tiểu thương Hà Nội kẹt giữa gánh thuê nhà và thuế khóa
Tướng Nga thiệt mạng vì bom gài dưới gầm xe ở Moscow Tự tử vì bị Trump trục xuất Mỹ bán gói vũ khí 11,1 tỷ USD cho Đài Loan: HIMARS, drone cảm tử và lời cảnh cáo từ Bắc Kinh
Hàn Quốc xin “vé” vào CLB tàu ngầm hạt nhân: Trump gật đầu, nhưng cái giá là gì? Số người gốc Việt sống chui ở nước ngoài tăng lên mức kỷ lục 517.000 người Vì sao “vượt biển” của họ Hồ là cứu nước, còn vượt biển của dân Việt sau 1975 là “Cali, đu càng”?
Con trai người lính VNCH hôm nay là Captain Hải quân Mỹ và Giáo sư tại Walter Reed Chính quyền Trump muốn trục xuất khoảng 100.000 người gốc Việt khỏi Mỹ Dân Việt Nam làm mờ biển số xe khiến AI của Công An không biết đường nào mà phạt
Công dân Mỹ cũng có thể bị ICE bắt nhầm: ‘Xứ tự do’ và nỗi sợ gõ cửa lúc nửa đêm Khi CIA mù tịt, còn một tướng VNCH đã nhìn ra trước Kinh tế Trung Quốc kẹt giữa lạm phát và giảm phát
Hàng Tàu phá vây thuế quan, Trump khoe kinh tế A+++ và chiếc ví rỗng của người Mỹ Nguyễn Cao Kỳ, cái chết bất ngờ và bài học đắt giá về ‘hòa hợp hòa giải’ Trung Quốc siết cổ doanh nghiệp Việt: Cuộc xâm lược thương mại ngay trên sân nhà
Mỹ đuổi thẳng tay nếu chửi Mỹ trên Facebook Hòa bình mong manh cho Ukraine: Kế hoạch 20 điểm, sức ép từ Trump và bài toán bầu cử giữa làn đạn Fed cắt lãi suất lần thứ ba liên tiếp: Powell “phanh gấp”, túi tiền người Mỹ thay đổi ra sao?
IKEA khai trương cửa hàng đầu tiên ở New Zealand: Người Kiwi xếp hàng từ tờ mờ sáng Nước Mỹ không dung dưỡng kẻ vô ơn: Tị nạn, di dân và cơn giận của Donald Trump Dư âm Giáng Sinh Sài Gòn xưa: Từ mùa sao sáng đến thánh ca buồn
Lê Duẩn – Mao Trạch Đông và cái giá “lá chắn phương Nam” của Việt Nam Trung Quốc hủy 540.000 vé sang Nhật: Đòn răn đe hay cú “tự bắn vào chân”? Trump xóa bỏ tiêu chuẩn nhiên liệu thời Biden
Mỹ đã hiểu sai tham vọng của Đảng Cộng sản Trung Quốc và đánh giá thấp sự quyết liệt tàn nhẫn của họ Tị nạn, thẻ xanh, visa du học cùng bị “khóa cửa” Khi bia Mexico gặp búa trừng phạt di trú của Trump: Cú ngã đau của đế chế Modelo – Corona
Biển số 37.77: Thông điệp ngầm của Thủ tướng Nhật Takaichi Sanae gửi Bắc Kinh Quốc tịch Mỹ: Tường thành gần như tuyệt đối cho người nhập tịch Con gái Hà Nội, giọt nước dưới mặt lá
Những tay giang hồ miền Nam: huyền thoại, bóng tối và cái giá phải trả Huỳnh Điều – “anh lớp Ba” mà Cộng sản sợ cái miệng hơn sợ khẩu M.79 Tiếng súng 9 giờ sáng ở Florida và hành trình cuối của nữ deputy Terri Sweeting-Mashkow
“Giang sơn” nào được sắp xếp, và sắp xếp cho ai? Sau 40 tuổi, khuôn mặt là “bản lý lịch” của tâm hồn Siêu biệt phủ trăm tỷ của Chủ tịch phường Hải Phòng: “Đại Lộc Thiên tử” giữa làng nghèo

 
Lên đầu Xuống dưới Lên 3000px Xuống 3000px

iPad Videos Portal Autoscroll

VietBF Music Portal Autoscroll

iPad News Portal Autoscroll

VietBF Homepage Autoscroll

VietBF Video Autoscroll Portal

USA News Autoscroll Portall

VietBF WORLD Autoscroll Portal

Home Classic

Super Widescreen

iPad World Portal Autoscroll

iPad USA Portal Autoscroll

Phim Bộ Online

Tin nóng nhất 24h qua

Tin nóng nhất 3 ngày qua

Tin nóng nhất 7 ngày qua

Tin nóng nhất 30 ngày qua

Albums

Total Videos Online
Lên đầu Xuống dưới Lên 3000px Xuống 3000px

Tranh luận sôi nổi nhất 7 ngày qua

Tranh luận sôi nổi nhất 14 ngày qua

Tranh luận sôi nổi nhất 30 ngày qua

10.000 Tin mới nhất

Tin tức Hoa Kỳ

Tin tức Công nghệ
Lên đầu Xuống dưới Lên 3000px Xuống 3000px

Super News

School Cooking Traveling Portal

Enter Portal

Series Shows and Movies Online

Home Classic Master Page

Donation Ủng hộ $3 cho VietBF
Lên đầu Xuống dưới Lên 3000px Xuống 3000px
Diễn Đàn Người Việt Hải Ngoại. Tự do ngôn luận, an toàn và uy tín. Vì một tương lai tươi đẹp cho các thế hệ Việt Nam hãy ghé thăm chúng tôi, hãy tâm sự với chúng tôi mỗi ngày, mỗi giờ và mỗi giây phút có thể. VietBF.Com Xin cám ơn các bạn, chúc tất cả các bạn vui vẻ và gặp nhiều may mắn.
Welcome to Vietnamese American Community, Vietnamese European, Canadian, Australian Forum, Vietnamese Overseas Forum. Freedom of speech, safety and prestige. For a beautiful future for Vietnamese generations, please visit us, talk to us every day, every hour and every moment possible. VietBF.Com Thank you all and good luck.

Lên đầu Xuống dưới Lên 3000px Xuống 3000px

All times are GMT. The time now is 05:16.
VietBF - Vietnamese Best Forum Copyright ©2005 - 2026
User Alert System provided by Advanced User Tagging (Pro) - vBulletin Mods & Addons Copyright © 2026 DragonByte Technologies Ltd.
Log Out Unregistered

Page generated in 0.11618 seconds with 13 queries