HOME-Au
HOME-Au
24h
24h
USA
USA
GOP
GOP
Phim Bộ
Phim Bộ
Videoauto
VIDEO-Au
Home Classic
Home Classic
Donation
Donation
News Book
News Book
News 50
News 50
worldautoscroll
WORLD-Au
Breaking
Breaking
 

Go Back   VietBF > Others (Closed Forums) > Archive - Old News 2005-2011 (closed)

 
 
Thread Tools
Default Đinh dài 15cm nằm trong phổi
Old 12-17-2011   #1
jojolotus
R9 Tuyệt Đỉnh Tôn Sư
 
jojolotus's Avatar
 
Join Date: Dec 2008
Posts: 41,760
Thanks: 0
Thanked 0 Times in 0 Posts
Mentioned: 0 Post(s)
Tagged: 0 Thread(s)
Quoted: 0 Post(s)
Rep Power: 58
jojolotus Reputation Uy Tín Level 1jojolotus Reputation Uy Tín Level 1
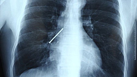
Sau 3 lần vất vả gắp chiếc đinh dài 15cm ra khỏi cơ thể của một người thợ mộc, các bác sĩ ở Trung Quốc cuối cùng mới thành công.

Khi đang ngậm đinh ở răng để làm việc, Li Xiangyang (48 tuổi) ở thành phố Hoàng Thạch, tỉnh Hồ Bắc bất ngờ ho và nuốt nó vào người. Ông nhanh chóng được đưa tới một bệnh viện gần trường Đại học Vũ Hán để cấp cứu. Tại đây, qua chụp X-quang, các bác sĩ phát hiện chiếc đinh nằm ở phổi phải.



Chiếc đinh dài 15cm nằm trong phổi của Li.

Nhận thấy cần phải lấy nó ngay ra khỏi cơ thể, giáo sư Hu Ke luồn một ống soi phế quản xuống cổ họng để lấy chiếc đinh ra. Tuy nhiên, khi ông Hu sắp lấy được chiếc đinh ra khỏi miệng, thì Li lại ho và khiến chiếc đinh rơi xuống cổ họng.

Lần này, chiếc đinh lại nằm ở phổi trái và giáo sư Hu lại tiếp tục lấy nó ra. Nhưng cũng như lần trước, Li vô tình nuốt chiếc đinh và nó lại biến mất khi sắp được lấy ra.

Loay hoay mãi mà không tìm thấy chiếc đinh nằm ở phổi, các bác sĩ sau đó phát hiện nó đã trôi xuống dạ dày của bệnh nhân. Cuối cùng, bác sĩ dùng ống soi dạ dày để lấy được nó ra khỏi bụng của ông Li.


Bình An
Theo Bưu Điện Việt Nam
jojolotus_is_offline  
Attached Thumbnails
Click image for larger version

Name:	t739386.jpg
Views:	7
Size:	20.9 KB
ID:	343110  
 
User Tag List



 
Lên đầu Xuống dưới Lên 3000px Xuống 3000px

VietBF Homepage Autoscroll

VietBF Video Autoscroll Portal

USA News Autoscroll Portall

VietBF WORLD Autoscroll Portal

Home Classic

Super Widescreen

Tin nóng nhất 24h qua

Tin nóng nhất 3 ngày qua

Tin nóng nhất 7 ngày qua

Tin nóng nhất 30 ngày qua

Albums

Total Videos Online
Lên đầu Xuống dưới Lên 3000px Xuống 3000px

Tranh luận sôi nổi nhất 7 ngày qua

Tranh luận sôi nổi nhất 14 ngày qua

Tranh luận sôi nổi nhất 30 ngày qua

10.000 Tin mới nhất

Tin tức Hoa Kỳ

Tin tức Công nghệ
Lên đầu Xuống dưới Lên 3000px Xuống 3000px

Super News

School Cooking Traveling Portal

Enter Portal

Series Shows and Movies Online

Home Classic Master Page

Donation Ủng hộ $3 cho VietBF
Lên đầu Xuống dưới Lên 3000px Xuống 3000px
Diễn Đàn Người Việt Hải Ngoại. Tự do ngôn luận, an toàn và uy tín. Vì một tương lai tươi đẹp cho các thế hệ Việt Nam hãy ghé thăm chúng tôi, hãy tâm sự với chúng tôi mỗi ngày, mỗi giờ và mỗi giây phút có thể. VietBF.Com Xin cám ơn các bạn, chúc tất cả các bạn vui vẻ và gặp nhiều may mắn.
Welcome to Vietnamese American Community, Vietnamese European, Canadian, Australian Forum, Vietnamese Overseas Forum. Freedom of speech, safety and prestige. For a beautiful future for Vietnamese generations, please visit us, talk to us every day, every hour and every moment possible. VietBF.Com Thank you all and good luck.

Lên đầu Xuống dưới Lên 3000px Xuống 3000px

All times are GMT. The time now is 05:37.
VietBF - Vietnamese Best Forum Copyright ©2005 - 2025
User Alert System provided by Advanced User Tagging (Pro) - vBulletin Mods & Addons Copyright © 2025 DragonByte Technologies Ltd.
Log Out Unregistered

Page generated in 0.08979 seconds with 13 queries