HOME-Au
HOME-Au
24h
24h
USA
USA
GOP
GOP
Phim Bộ
Phim Bộ
Videoauto
VIDEO-Au
Home Classic
Home Classic
Donation
Donation
News Book
News Book
News 50
News 50
worldautoscroll
WORLD-Au
Breaking
Breaking
 

Go Back   VietBF > Others (Closed Forums) > Archive - Old News 2005-2011 (closed)

 
 
Thread Tools
Default Cứu sống cháu bé 7 tuổi bị mắc lưỡi câu trong phổi
Old 09-16-2011   #1
dh2003
R7 Tuyệt Đỉnh Cao Thủ
 
dh2003's Avatar
 
Join Date: Sep 2008
Posts: 9,141
Thanks: 0
Thanked 0 Times in 0 Posts
Mentioned: 0 Post(s)
Tagged: 0 Thread(s)
Quoted: 0 Post(s)
Rep Power: 27
dh2003 Reputation Uy Tín Level 1dh2003 Reputation Uy Tín Level 1
Chiều 16/9, tin từ các BS chuyên khoa Tai - Mũi - Họng, bệnh viện đa khoa Đà Nẵng cho biết: đã phẫu thuật cấp cứu thành công cháu bé 7 tuổi bị mắc lưỡi câu trong phỗi.



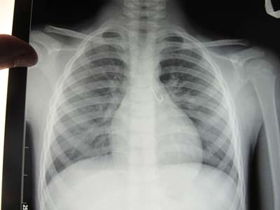
Bản chụp X-Quang thấy rõ lưỡi câu mắc trong phổi bệnh nhi

Bệnh nhi N.X.T 7 tuổi, là người dân tộc Cơ tu thường trú tại huyện Nam Trà My, tỉnh Quảng Nam. Trước đó, ngày 10/9, bệnh nhi nhập viện trong tình trạng ngột thở, ho sặc sụa. Qua nội soi cấp cứu, phát hiện 1 lưỡi câu còn nguyên móc, dài 1,5cm mắc ở phổi. Lưỡi câu cắm vào niêm mạc của phế quản. Các bác sĩ đã tiến hành phẫu thuật cấp cứu lấy lưỡi câu ra khỏi phổi bệnh nhi an toàn. Qua theo dõi điều trị, hiện sức khỏe bệnh nhi đã bình phục hoàn toàn.

Điều tra bệnh lý, người nhà bệnh nhi cho biết: trong lúc đi câu cá với các bạn, sợ các bạn giành mất lưỡi câu nên cháu ngậm giấu lưỡi câu trong miệng. Không may, cháu để lưỡi câu tuột luôn xuống họng. Khi cháu bị ngạt thở nguy cấp, người nhà đưa ra viện điều trị mới tá hỏa khi biết lưỡi câu mắc hẳn vào trong phổi. Các bác sĩ chuyên khoa nhận định, rất may cháu bé được cấp cứu kịp thời, không thì khó tránh khỏi nguy cơ thiệt mạng.

Khánh Hiền
Theo DânTrí
dh2003_is_offline  
Attached Thumbnails
Click image for larger version

Name:	1_9d71c.jpg
Views:	22
Size:	9.7 KB
ID:	317483  
 
User Tag List



 
Lên đầu Xuống dưới Lên 3000px Xuống 3000px

VietBF Homepage Autoscroll

VietBF Video Autoscroll Portal

USA News Autoscroll Portall

VietBF WORLD Autoscroll Portal

Home Classic

Super Widescreen

Tin nóng nhất 24h qua

Tin nóng nhất 3 ngày qua

Tin nóng nhất 7 ngày qua

Tin nóng nhất 30 ngày qua

Albums

Total Videos Online
Lên đầu Xuống dưới Lên 3000px Xuống 3000px

Tranh luận sôi nổi nhất 7 ngày qua

Tranh luận sôi nổi nhất 14 ngày qua

Tranh luận sôi nổi nhất 30 ngày qua

10.000 Tin mới nhất

Tin tức Hoa Kỳ

Tin tức Công nghệ
Lên đầu Xuống dưới Lên 3000px Xuống 3000px

Super News

School Cooking Traveling Portal

Enter Portal

Series Shows and Movies Online

Home Classic Master Page

Donation Ủng hộ $3 cho VietBF
Lên đầu Xuống dưới Lên 3000px Xuống 3000px
Diễn Đàn Người Việt Hải Ngoại. Tự do ngôn luận, an toàn và uy tín. Vì một tương lai tươi đẹp cho các thế hệ Việt Nam hãy ghé thăm chúng tôi, hãy tâm sự với chúng tôi mỗi ngày, mỗi giờ và mỗi giây phút có thể. VietBF.Com Xin cám ơn các bạn, chúc tất cả các bạn vui vẻ và gặp nhiều may mắn.
Welcome to Vietnamese American Community, Vietnamese European, Canadian, Australian Forum, Vietnamese Overseas Forum. Freedom of speech, safety and prestige. For a beautiful future for Vietnamese generations, please visit us, talk to us every day, every hour and every moment possible. VietBF.Com Thank you all and good luck.

Lên đầu Xuống dưới Lên 3000px Xuống 3000px

All times are GMT. The time now is 04:50.
VietBF - Vietnamese Best Forum Copyright ©2005 - 2025
User Alert System provided by Advanced User Tagging (Pro) - vBulletin Mods & Addons Copyright © 2025 DragonByte Technologies Ltd.
Log Out Unregistered

Page generated in 0.10650 seconds with 13 queries