HOME-Au
HOME-Au
24h
24h
USA
USA
GOP
GOP
Phim Bộ
Phim Bộ
Videoauto
VIDEO-Au
Home Classic
Home Classic
Donation
Donation
News Book
News Book
News 50
News 50
worldautoscroll
WORLD-Au
Breaking
Breaking
 

Go Back   VietBF > Other News|Tin Khác > School | Kiến thức


Reply
 
Thread Tools
  #1  
Old  Default Lý do nhiều người không hút thuốc vẫn bị ung thư phổi
Chuyên gia đầu ngành về ung thư tiết lộ những yếu tố bất ngờ đang âm thầm đe dọa lá phổi, ngay cả với người không hút thuốc.

Theo GS.TS Mai Trọng Khoa, nguyên Phó Giám đốc Bệnh viện Bạch Mai, sự gia tăng ung thư phổi đến từ nhiều nguyên nhân, ngoài yếu tố hút thuốc lá. Sự phát triển của dân số, cùng với tuổi thọ ngày càng cao, kéo theo số lượng người ở độ tuổi trung niên và cao tuổi tăng lên, là nhóm có nguy cơ mắc bệnh cao.

Thêm vào đó, môi trường sống ô nhiễm bởi khói bụi, hóa chất, thuốc trừ sâu và xăng dầu do quá trình công nghiệp hóa, cũng góp phần thúc đẩy sự phát triển của căn bệnh này.


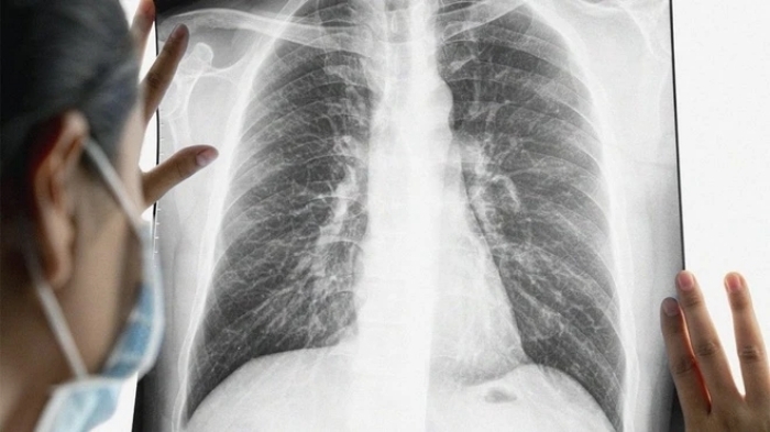
Ung thư phổi được ví như "sát thủ thầm lặng" khi nhiều trường hợp chỉ phát hiện ở giai đoạn muộn. (Ảnh minh hoạ)

Tỷ lệ thanh thiếu niên hút thuốc lá truyền thống và thuốc lá điện tử vẫn cao, tiềm ẩn nguy cơ trở thành nguồn bệnh trong tương lai. Hiện tượng hút thuốc thụ động cũng là nguyên nhân khiến tỷ lệ mắc ung thư phổi ở phụ nữ tăng lên, điển hình là người vợ mắc bệnh dù người chồng hút thuốc.

“Minh chứng điển hình cho những ca bệnh dù sống trong môi trường trong lành, không hút thuốc lá vẫn mắc ung thư phổi”, chuyên gia nói.

Bên cạnh những yếu tố khách quan, ung thư phổi còn đến từ những nguyên nhân nội sinh, các đột biến gene trong cơ thể, dù hiếm gặp nhưng vẫn có thể gây ung thư.

"Tỷ lệ ung thư do nguyên nhân nội sinh không nhiều, nhưng vẫn tồn tại. Đây là lý do vì sao có những người tưởng chừng hoàn toàn khỏe mạnh, không phơi nhiễm khói thuốc hay ô nhiễm vẫn mắc bệnh”, giáo sư Khoa giải thích.

Theo chuyên gia, ung thư phổi diễn tiến âm thầm. Khi các triệu chứng xuất hiện rõ rệt, bệnh đã ở giai đoạn tiến triển, thu hẹp cơ hội điều trị triệt để. Tuy nhiên, y học hiện đại đạt được nhiều bước tiến quan trọng.

Các kỹ thuật chẩn đoán hình ảnh tiên tiến như PET/CT và PET/MRI có thể phát hiện tổn thương phổi từ rất sớm. Đặc biệt, sinh học phân tử giúp xác định chính xác đột biến gene, từ đó đưa ra phác đồ điều trị đích hiệu quả.

Ngoài các phương pháp truyền thống như phẫu thuật, hóa trị, xạ trị, y học đã phát triển các phương pháp điều trị mới: điều trị trúng đích và miễn dịch. Đặc biệt, giáo sư Khoa nhấn mạnh hướng nghiên cứu Theranostic, kết hợp chẩn đoán và điều trị bằng đồng vị phóng xạ, mở ra hy vọng mới cho những bệnh nhân đã thất bại với các phương pháp cũ.

Bên cạnh đó, việc đầu tư cơ sở vật chất, đào tạo đội ngũ bác sĩ chuyên khoa ung bướu trên cả nước sẽ giúp bệnh nhân được điều trị chất lượng cao ngay tại địa phương, từ đó kéo dài thời gian sống và cải thiện chất lượng cuộc sống.

Bác sĩ cũng nhấn mạnh tầm quan trọng của việc phòng ngừa: hạn chế hút thuốc, kiểm soát môi trường sống, có chế độ dinh dưỡng và vận động hợp lý. "Nếu giảm tỷ lệ hút thuốc ở nam giới, chúng ta sẽ giảm được hàng chục nghìn ca ung thư phổi mỗi năm", ông Khoa nói.

VietBF@sưu tập
VIETBF Diễn Đàn Hay Nhất Của Người Việt Nam

HOT NEWS 24h

HOT 3 Days

NEWS 3 Days

HOT 7 Days

NEWS 7 Days

HOME

Breaking News

VietOversea

World News

Business News

Car News

Computer News

Game News

USA News

Mobile News

Music News

Movies News

History

Thơ Ca

Sport News

Stranger Stories

Comedy Stories

Cooking Chat

Nice Pictures

Fashion

School

Travelling

Funny Videos

Canada Tin Hay

USA Tin Hay

10.000 Tin mới nhất

Tin nóng nhất 24h qua

Super News

Tin tức Hoa Kỳ


goodidea
R10 Vô Địch Thiên Hạ
Release: 08-18-2025
Reputation: 207573


Profile:
Join Date: Mar 2020
Posts: 56,258
Last Update: None Rating: None
Attached Thumbnails
Click image for larger version

Name:	1.jpg
Views:	0
Size:	151.5 KB
ID:	2562641  
goodidea_is_offline
Thanks: 68
Thanked 3,298 Times in 2,837 Posts
Mentioned: 0 Post(s)
Tagged: 0 Thread(s)
Quoted: 34 Post(s)
Rep Power: 72
goodidea Reputation Uy Tín Level 10goodidea Reputation Uy Tín Level 10goodidea Reputation Uy Tín Level 10goodidea Reputation Uy Tín Level 10
goodidea Reputation Uy Tín Level 10goodidea Reputation Uy Tín Level 10goodidea Reputation Uy Tín Level 10goodidea Reputation Uy Tín Level 10goodidea Reputation Uy Tín Level 10goodidea Reputation Uy Tín Level 10goodidea Reputation Uy Tín Level 10goodidea Reputation Uy Tín Level 10goodidea Reputation Uy Tín Level 10goodidea Reputation Uy Tín Level 10goodidea Reputation Uy Tín Level 10goodidea Reputation Uy Tín Level 10goodidea Reputation Uy Tín Level 10goodidea Reputation Uy Tín Level 10goodidea Reputation Uy Tín Level 10goodidea Reputation Uy Tín Level 10goodidea Reputation Uy Tín Level 10goodidea Reputation Uy Tín Level 10goodidea Reputation Uy Tín Level 10goodidea Reputation Uy Tín Level 10goodidea Reputation Uy Tín Level 10goodidea Reputation Uy Tín Level 10
Reply

User Tag List



 
Lên đầu Xuống dưới Lên 3000px Xuống 3000px

VietBF Homepage Autoscroll

VietBF Video Autoscroll Portal

USA News Autoscroll Portall

VietBF WORLD Autoscroll Portal

Home Classic

Super Widescreen

Tin nóng nhất 24h qua

Tin nóng nhất 3 ngày qua

Tin nóng nhất 7 ngày qua

Tin nóng nhất 30 ngày qua

Albums

Total Videos Online
Lên đầu Xuống dưới Lên 3000px Xuống 3000px

Tranh luận sôi nổi nhất 7 ngày qua

Tranh luận sôi nổi nhất 14 ngày qua

Tranh luận sôi nổi nhất 30 ngày qua

10.000 Tin mới nhất

Tin tức Hoa Kỳ

Tin tức Công nghệ
Lên đầu Xuống dưới Lên 3000px Xuống 3000px

Super News

School Cooking Traveling Portal

Enter Portal

Series Shows and Movies Online

SERIES ONLINE 1

Donation Ủng hộ $3 cho VietBF
Lên đầu Xuống dưới Lên 3000px Xuống 3000px
Diễn Đàn Người Việt Hải Ngoại. Tự do ngôn luận, an toàn và uy tín. Vì một tương lai tươi đẹp cho các thế hệ Việt Nam hãy ghé thăm chúng tôi, hãy tâm sự với chúng tôi mỗi ngày, mỗi giờ và mỗi giây phút có thể. VietBF.Com Xin cám ơn các bạn, chúc tất cả các bạn vui vẻ và gặp nhiều may mắn.
Welcome to Vietnamese American Community, Vietnamese European, Canadian, Australian Forum, Vietnamese Overseas Forum. Freedom of speech, safety and prestige. For a beautiful future for Vietnamese generations, please visit us, talk to us every day, every hour and every moment possible. VietBF.Com Thank you all and good luck.

Lên đầu Xuống dưới Lên 3000px Xuống 3000px

All times are GMT. The time now is 08:27.
VietBF - Vietnamese Best Forum Copyright ©2005 - 2025
User Alert System provided by Advanced User Tagging (Pro) - vBulletin Mods & Addons Copyright © 2025 DragonByte Technologies Ltd.
Log Out Unregistered

Page generated in 0.12266 seconds with 13 queries