HOME-Au
HOME-Au
24h
24h
USA
USA
GOP
GOP
Phim Bộ
Phim Bộ
Videoauto
VIDEO-Au
Home Classic
Home Classic
Donation
Donation
News Book
News Book
News 50
News 50
worldautoscroll
WORLD-Au
Breaking
Breaking
 

Go Back   VietBF > World Box| Thế Giới > Vietnam News | Tin Việt Nam > 2005-2023 Vietnam News


 
 
Thread Tools
  #1  
Old  Default Loại virus đáng sợ gây tử vong và dị tật cho thai nhi
Virus dễ gây tử vong và dị tật cho thai khi mẹ bị nhiễm. Đó là virus Cytomegalo. Khi bị lây nhiễm, chúng sẽ ở trong cơ thể vật chủ suốt đời và dễ gây sẩy thai hoặc tử vong sau sinh.

Gần đây, một trẻ sơ sinh tại Quảng Ninh tử vong do mẹ nhiễm virus Cytomegalo (CMV). Trẻ chào đời nặng 2,7 kg nhưng có biểu hiện toàn thân vàng nhợt, ban tím vùng lưng, mặt, tim đập rời rạc và không qua khỏi sau 11 giờ được các bác sĩ của Bệnh viện Việt Nam - Thụy Điển Uông Bí (Quảng Ninh) tích cực điều trị.

Theo Cục Y tế Dự phòng (Bộ Y tế), CMV là bệnh nhiễm trùng hàng đầu gây điếc, chậm phát triển trí tuệ và mù bẩm sinh.

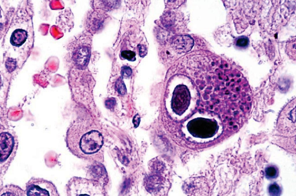
Nhiễm trùng CMV bẩm sinh thường không có triệu chứng nhưng dễ gây sẩy thai, thai chết lưu hoặc tử vong sau sinh. Virus gây một số biến chứng như đốm mảng xuất huyết trên da, gan, lách to, vàng da, teo não và đầu nhỏ, chậm phát triển… Hiện nay, các tài liệu về chủng virus này còn rất ít.

“Tử thần” của những người có hệ miễn dịch kém
Cytomegalovirus (CMV) là một loại virus liên quan đến chủng gây ra bệnh thủyđậu, herpes simplex và tăng bạch cầu đơn nhân. Nhiễm trùng CMV phổ biến ở mọi người, mọi lứa tuổi.



Hình ảnh lưng bệnh nhi tại Quảng Ninh ngay sau sinh. Ảnh: BVCC.
Thông thường, hệ thống miễn dịch của con người sẽ là tấm khiên vững chắc ngăn virus xâm nhập và gây bệnh. Tuy nhiên, ở những người có hệ miễn dịch kém, Cytomegalovirus tấn công.

Một khi virus Cytomegalo lây nhiễm, nó sẽ ở trong cơ thể vật chủ suốt đời nhưng ở 2 thể ngủ và hoạt động.

Nếu cơ thể vật chủ đang khỏe mạnh, CMV ngủ yên trong tế bào bạch cầu. Chỉ cần hệ miễn dịch bị suy giảm, virus này có thể tái hoạt động và gây bệnh lý cho cơ thể.

Từ 80 đến 100% các ca bệnh có biểu hiện trên da như sẩn đỏ, chấm hoặc nốt xuất huyết, mề đay, hồng ban cứng. Trẻ nhiễm Cytomegalovirus bẩm sinh thường bị vàng da, thiếu máu, hạ tiểu cầu, gan lách to, sẩn ngứa, các cục dưới da, viêm màng mạch võng mạc (chorioretinitis). Thai nhi nếu nhiễm CMV sẽ chậm phát triển ở tử cung.

CMV có mặt ở mọi nơi trên thế giới nhưng không gây dịch. Điều kiện cho loại virus này phát triển là cuộc sống cộng đồng và vệ sinh cá nhân kém. Khoảng 1% trẻ sơ sinh chào đời nhiễm CMV. Tại các nước đang phát triển, tỷ lệ này cao hơn.

Trẻ nhỏ hoặc trong giai đoạn 7 ngày đầu sau sinh (chu sinh) rất dễ bị nhiễm bệnh. Người mẹ nhiễm trùng CMV có thể truyền bệnh cho con qua nhau thai, quá trình sinh hoặc trong sữa mẹ. Ở trẻ nhỏ, virus thường được lây truyền qua nước bọt.

Đến tuổi trưởng thành, CMV lây từ người này sang người khác qua tiếp xúc dịch cơ thể như máu, nước bọt, nước tiểu, sữa, tinh dịch và dịch tiết cổ tử cung. Nó cùng truyền qua đường máu hoặc ghép tạng.

Khoảng 40-80% người lớn tại Mỹ bị nhiễm trùng CMV trước tuổi 40. Ở các nước phát triển, tỷ lệ này lên tới 90%. Trên thế giới, khoảng 80% người trưởng thành có kháng thể virus này trong người.



Khi virus Cytomegalo lây nhiễm, nó sẽ ở trong cơ thể vật chủ đến suốt đời. Ảnh: Medscape.Dấu hiệu và biến chứng
Cytomegalovirus bị bất hoạt ở nhiệt độ 56 độ C trong vòng 30 phút, bởi tia cực tím và các chất sát khuẩn thông thường. Tỷ lệ nhiễm CMV tại Việt Nam vẫn chưa được thống kê.

Người nhiễm CMV thường không có triệu chứng nên rất khó phát hiện bệnh. Một khi nhiễm virus Cytomegalo, nó sẽ tồn tại suốt đời trong cơ thể. Thống kê của Cục Y tế Dự phòng cho thấy 95% ca bệnh CMV không có biểu hiện lâm sàng.

Nếu có, bệnh nhân sẽ gặp tình trạng sốt, mệt mỏi, yếu cơ, sưng hạch ngoại vi, hạch nội tạng, gan lách to, kèm theo thương tổn trên da như trường hợp của trẻ sơ sinh tại Quảng Ninh vừa qua.

Theo tài liệu của khoa Xét nghiệm, Bệnh viện Từ Dũ (TP.HCM), bệnh học nhiễm trùng CMV được chia thành 3 loại tương ứng đối tượng bị mắc.

Ở người lớn và thanh, thiếu niên, Cytomegalovirus gây hội chứng tăng bạch cầu đơn nhân nhiễm trùng. Thời gian ủ bệnh 20-60 ngày, các triệu chứng xuất hiện sau 2-6 tuần nhiễm virus như: Sốt kéo dài, lạnh run, suy yếu, khó chịu; đau cơ, lách to, viêm họng xuất tiết và viêm hạch ở cổ. Virus còn gây bất thường chức năng gan và bệnh lý lympho bào.

Các biểu hiện bệnh thường nhẹ và người mắc hầu như đều hồi phục, không để lại di chứng. Ở người lớn và thanh, thiếu niên, hiếm khi nhiễm CMV gây ra tử vong, trừ các trường hợp người bệnh bị suy giảm miễn dịch. Đặc biệt, bệnh nhân được ghép thận, tủy bị đè nén miễn dịch để biến chứng viêm phổi mô kẽ tỷ lệ cao.



Phụ nữ mang thai, trẻ sơ sinh, trẻ nhỏ, người có hệ miễn dịch suy yếu là đối tượng dễ bị CMV tấn công. Ảnh: Conversation.
Trẻ có thể bị nhiễm CMV trong giai đoạn chu sinh (7 ngày sau khi chào đời) trong quá trình đi qua âm đạo hoặc lây sau khi bú sữa mẹ hay tiếp xúc trực tiếp các dịch tiết khác. Đa số bệnh nhi không có triệu chứng.

Một số trường hợp biểu hiện lâm sàng viêm phổi kẽ kéo dài. Các triệu chứng khác hay gặp ở trẻ nhiễm CMV trong giai đoạn chu sinh là cân nặng khi chào đời thấp, viêm hạch, nổi mẩn, viêm gan, tế bào lympho tăng và thiếu máu.

CMV có khả năng được đào thải không liên tục từ hầu họng và nước tiểu trong nhiều tháng, thậm chí vài năm.

Một số trường hợp khác là trẻ nhiễm CMV bẩm sinh trong quá trình thai nghén. Điều này gây nên bệnh thể vùi tế bào khổng lồ (Cytomegalo). Nhiều cơ quan cũng bị nhiễm dẫn đến bất thường bẩm sinh.

Hầu hết chỉ thai nhi có mẹ bị nhiễm CMV lần đầu trong khi mang bầu mới có triệu chứng lâm sàng. Thai nhi có nhiều dạng biểu hiện lâm sàng từ không có triệu chứng đến thể nặng và lan rộng toàn thân. Một số triệu chứng như đốm mảng xuất huyết, gan, lách to, vàng da (60-80%), teo não và đầu nhỏ, nhu mô não bị vôi hóa, chậm phát triển trong tử cung(30-50%), thoát vị bẹn và viêm võng mạc ít thấy hơn.

Theo Trung tâm Kiểm soát và Phòng ngừa Dịch bệnh Mỹ (CDC), một số trẻ sơ sinh có dấu hiệu nhiễm CMV từ khi chào đời phải đối mặt các vấn đề sức khỏe lâu dài như mất thính lực, thị lực, chậm phát triển và vận động, đầu nhỏ, co giật…

Nhiễm trùng CMV là bệnh không có vaccine và thuốc điều trị đặc hiệu. Nguy cơ lây nhiễm của các sản phụ, thai nhi là rất cao. Do đó, chúng ta chỉ có thể giảm thiểu nguy cơ nhiễm virus qua các biện pháp phòng bệnh.

Các bác sĩ khuyến cáo chúng ta nên xét nghiệm, chẩn đoán CMV từ sớm, nhất là người có hệ miễn dịch suy yếu. Đặc biệt, phụ nữ mang thai cần xét nghiệm máu chẩn đoán trước sinh.

Dịch vụ Y tế Quốc gia Anh khuyến cáo phụ nữ mang thai và cho con bú nên rửa sạch tay bằng xà bông, nước, đặc biệt là sau khi thay tã, vệ sinh. Các mẹ nên vệ sinh đồ chơi, các vật dụng dễ dính nước bọt, nước tiểu của trẻ thường xuyên. Chúng ta nên tránh dùng chung đồ ăn, ly uống nước và tránh hôn trẻ.

VietBF@ sưu tầm.
VIETBF Diễn Đàn Hay Nhất Của Người Việt Nam

HOT NEWS 24h

HOT 3 Days

NEWS 3 Days

HOT 7 Days

NEWS 7 Days

HOME

Breaking News

VietOversea

World News

Business News

Car News

Computer News

Game News

USA News

Mobile News

Music News

Movies News

History

Thơ Ca

Sport News

Stranger Stories

Comedy Stories

Cooking Chat

Nice Pictures

Fashion

School

Travelling

Funny Videos

Canada Tin Hay

USA Tin Hay

10.000 Tin mới nhất

Tin nóng nhất 24h qua

Super News

Tin tức Hoa Kỳ


pizza
R11 Tuyệt Thế Thiên Hạ
Release: 10-25-2020
Reputation: 237102


Profile:
Join Date: Sep 2014
Posts: 105,030
Last Update: None Rating: None
Attached Thumbnails
Click image for larger version

Name:	421.jpg
Views:	0
Size:	210.7 KB
ID:	1675897   Click image for larger version

Name:	422.jpg
Views:	0
Size:	171.6 KB
ID:	1675898   Click image for larger version

Name:	423.jpg
Views:	0
Size:	293.2 KB
ID:	1675899  

pizza_is_offline
Thanks: 7
Thanked 8,080 Times in 7,190 Posts
Mentioned: 6 Post(s)
Tagged: 0 Thread(s)
Quoted: 41 Post(s)
Rep Power: 128
pizza Reputation Uy Tín Level 10pizza Reputation Uy Tín Level 10pizza Reputation Uy Tín Level 10pizza Reputation Uy Tín Level 10pizza Reputation Uy Tín Level 10pizza Reputation Uy Tín Level 10pizza Reputation Uy Tín Level 10
pizza Reputation Uy Tín Level 10pizza Reputation Uy Tín Level 10pizza Reputation Uy Tín Level 10pizza Reputation Uy Tín Level 10pizza Reputation Uy Tín Level 10pizza Reputation Uy Tín Level 10pizza Reputation Uy Tín Level 10pizza Reputation Uy Tín Level 10pizza Reputation Uy Tín Level 10pizza Reputation Uy Tín Level 10pizza Reputation Uy Tín Level 10pizza Reputation Uy Tín Level 10pizza Reputation Uy Tín Level 10pizza Reputation Uy Tín Level 10pizza Reputation Uy Tín Level 10pizza Reputation Uy Tín Level 10pizza Reputation Uy Tín Level 10pizza Reputation Uy Tín Level 10pizza Reputation Uy Tín Level 10pizza Reputation Uy Tín Level 10pizza Reputation Uy Tín Level 10pizza Reputation Uy Tín Level 10
 
User Tag List



 
Lên đầu Xuống dưới Lên 3000px Xuống 3000px

VietBF Homepage Autoscroll

VietBF Video Autoscroll Portal

USA News Autoscroll Portall

VietBF WORLD Autoscroll Portal

Home Classic

Super Widescreen

Tin nóng nhất 24h qua

Tin nóng nhất 3 ngày qua

Tin nóng nhất 7 ngày qua

Tin nóng nhất 30 ngày qua

Albums

Total Videos Online
Lên đầu Xuống dưới Lên 3000px Xuống 3000px

Tranh luận sôi nổi nhất 7 ngày qua

Tranh luận sôi nổi nhất 14 ngày qua

Tranh luận sôi nổi nhất 30 ngày qua

10.000 Tin mới nhất

Tin tức Hoa Kỳ

Tin tức Công nghệ
Lên đầu Xuống dưới Lên 3000px Xuống 3000px

Super News

School Cooking Traveling Portal

Enter Portal

Series Shows and Movies Online

Home Classic Master Page

Donation Ủng hộ $3 cho VietBF
Lên đầu Xuống dưới Lên 3000px Xuống 3000px
Diễn Đàn Người Việt Hải Ngoại. Tự do ngôn luận, an toàn và uy tín. Vì một tương lai tươi đẹp cho các thế hệ Việt Nam hãy ghé thăm chúng tôi, hãy tâm sự với chúng tôi mỗi ngày, mỗi giờ và mỗi giây phút có thể. VietBF.Com Xin cám ơn các bạn, chúc tất cả các bạn vui vẻ và gặp nhiều may mắn.
Welcome to Vietnamese American Community, Vietnamese European, Canadian, Australian Forum, Vietnamese Overseas Forum. Freedom of speech, safety and prestige. For a beautiful future for Vietnamese generations, please visit us, talk to us every day, every hour and every moment possible. VietBF.Com Thank you all and good luck.

Lên đầu Xuống dưới Lên 3000px Xuống 3000px

All times are GMT. The time now is 00:55.
VietBF - Vietnamese Best Forum Copyright ©2005 - 2025
User Alert System provided by Advanced User Tagging (Pro) - vBulletin Mods & Addons Copyright © 2025 DragonByte Technologies Ltd.
Log Out Unregistered

Page generated in 0.11505 seconds with 13 queries