HOME-Au
HOME-Au
24h
24h
USA
USA
GOP
GOP
Phim Bộ
Phim Bộ
Videoauto
VIDEO-Au
Home Classic
Home Classic
Donation
Donation
News Book
News Book
News 50
News 50
worldautoscroll
WORLD-Au
Breaking
Breaking
 

Go Back   VietBF > Other News|Tin Khác > School | Kiến thức > School | Kiến thức 2006-2019


 
 
Thread Tools
  #1  
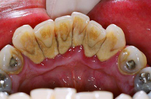
Old  Default Lấy sạch cao răng chỉ trong 2 phút với nguyên liệu chưa đến 20 nghìn đồng
Nhiều người có thói quen đến nha sĩ để lấy cao răng định kỳ. Thói quen này rất tốt, nhưng không cần thiết vì nó khá tốn kém. Bạn có thể bỏ ra chưa đến 20 nghìn đồng và 2 phút thực hiện để lấy sạch cao răng mà không cần đến nha sĩ.

Làm trắng răng ngay tại nhà sẽ giúp bạn tiết kiệm được rất nhiều thời gian, công sức và tiền bạc, quan trọng hơn là không bị nha sĩ “soi mói” gây cảm giác e ngại.

Tuy nhiên, không phải cứ thực hiện đầy đủ việc đánh răng 2 lần 1 ngày là hàm răng sẽ trắng đẹp như ý. Đây chỉ là yếu tố quan trọng để ngăn vi khuẩn hình thành, làm sạch răng đơn thuần, thức ăn thừa vẫn có thể bám lại ở chân răng, kẽ nướu, những nơi mà bàn chải đánh răng không tiếp xúc được, lâu ngày sẽ tạo nên lớp vôi cứng (cao răng). Do đó, bạn nên kết hợp thêm việc súc miệng với thứ nước dễ làm như thế này để có được nụ cười tự tin và rạng ngời nhất nhé!


- Nguyên liệu cần chuẩn bị:

+ Nước soda không đường

+ Muối trắng

+ Chanh


- Cách thực hiện:

+ Nước soda không đường bạn đổ ra cốc khoảng 250ml rồi thêm vào 1/2 thìa muối + nước cốt của 1/2 quả chanh, khuấy đều.


+ Đánh răng với kem đánh răng như thông thường. Bạn có thể dùng mặt trong của vỏ chanh chà mạnh lên răng cả mặt trong và mặt ngoài cũng giúp cải thiện màu sắc ố vàng một cách hiệu quả.

+ Sau đó, bạn súc miệng thật kĩ với nước soda đã pha 2, 3 lần.

+ Lần cuối cùng, bạn ngậm lại khoảng 1 – 2 phút, đồng thời dùng lưỡi đẩy đến chân nướu để hỗ trợ đánh bật hết mảng cao răng cứng đầu.

+ Thực hiện vào các buổi tối hoặc ít 3 lần 1 tuần. Để tiết kiệm tiền và không bị lãng phí soda, bạn nên mua chai có nắp thay vì dùng lon để bảo quản được cho ngày hôm sau.


- Công dụng:

+ Nước soda không đường nên không gây sâu răng, các bọt khí có khả năng làm tan mảng bám, cao răng rất hiệu quả.

+ Chanh chứa lượng vitamin C dồi dào, hạn chế chảy máu chân răng, viêm nướu và tăng cường làm trắng răng nhanh chóng hơn.

+ Muối có đặc tính kháng khuẩn, chống viêm cao, khi kết hợp với 2 nguyên liệu trên sẽ tạo ra nước súc miệng xuất sắc.

VietBF © Sưu Tầm
VIETBF Diễn Đàn Hay Nhất Của Người Việt Nam

HOT NEWS 24h

HOT 3 Days

NEWS 3 Days

HOT 7 Days

NEWS 7 Days

HOME

Breaking News

VietOversea

World News

Business News

Car News

Computer News

Game News

USA News

Mobile News

Music News

Movies News

History

Thơ Ca

Sport News

Stranger Stories

Comedy Stories

Cooking Chat

Nice Pictures

Fashion

School

Travelling

Funny Videos

Canada Tin Hay

USA Tin Hay

VietBF Homepage Autoscroll

VietBF Video Autoscroll Portal

Home Classic

Home Classic Master Page


miro1510
R9 Tuyệt Đỉnh Tôn Sư
Release: 02-16-2017
Reputation: 13827


Profile:
Join Date: Oct 2014
Posts: 46,948
Last Update: None Rating: None
Attached Thumbnails
Click image for larger version

Name:	161.1.jpg
Views:	0
Size:	26.7 KB
ID:	998349  
miro1510_is_offline
Thanks: 9
Thanked 2,091 Times in 1,930 Posts
Mentioned: 3 Post(s)
Tagged: 0 Thread(s)
Quoted: 8 Post(s)
Rep Power: 58
miro1510 Reputation Uy Tín Level 6
miro1510 Reputation Uy Tín Level 6miro1510 Reputation Uy Tín Level 6miro1510 Reputation Uy Tín Level 6miro1510 Reputation Uy Tín Level 6miro1510 Reputation Uy Tín Level 6miro1510 Reputation Uy Tín Level 6miro1510 Reputation Uy Tín Level 6miro1510 Reputation Uy Tín Level 6miro1510 Reputation Uy Tín Level 6miro1510 Reputation Uy Tín Level 6miro1510 Reputation Uy Tín Level 6miro1510 Reputation Uy Tín Level 6miro1510 Reputation Uy Tín Level 6miro1510 Reputation Uy Tín Level 6miro1510 Reputation Uy Tín Level 6miro1510 Reputation Uy Tín Level 6
The Following User Says Thank You to miro1510 For This Useful Post:
minhhanhnguyen (02-17-2017)
Old 02-17-2017   #2
corumstation
R7 Tuyệt Đỉnh Cao Thủ
 
corumstation's Avatar
 
Join Date: Jun 2007
Posts: 5,551
Thanks: 0
Thanked 5,833 Times in 1,025 Posts
Mentioned: 4 Post(s)
Tagged: 0 Thread(s)
Quoted: 286 Post(s)
Rep Power: 25
corumstation Reputation Uy Tín Level 7corumstation Reputation Uy Tín Level 7
corumstation Reputation Uy Tín Level 7corumstation Reputation Uy Tín Level 7corumstation Reputation Uy Tín Level 7corumstation Reputation Uy Tín Level 7corumstation Reputation Uy Tín Level 7corumstation Reputation Uy Tín Level 7corumstation Reputation Uy Tín Level 7corumstation Reputation Uy Tín Level 7corumstation Reputation Uy Tín Level 7corumstation Reputation Uy Tín Level 7corumstation Reputation Uy Tín Level 7corumstation Reputation Uy Tín Level 7corumstation Reputation Uy Tín Level 7
Default

The recipe --> CO2 dissolved H2O + C3H5O(COO)33− + NaCl ==> stupidity

1) Yes save some money and loose your teeth

2) It's a great plan for denture
corumstation_is_offline  
 
User Tag List



 
Lên đầu Xuống dưới Lên 3000px Xuống 3000px

iPad Videos Portal Autoscroll

VietBF Music Portal Autoscroll

iPad News Portal Autoscroll

VietBF Homepage Autoscroll

VietBF Video Autoscroll Portal

USA News Autoscroll Portall

VietBF WORLD Autoscroll Portal

Home Classic

Super Widescreen

Tin nóng nhất 24h qua

Tin nóng nhất 3 ngày qua

Tin nóng nhất 7 ngày qua

Tin nóng nhất 30 ngày qua

Albums

Total Videos Online
Lên đầu Xuống dưới Lên 3000px Xuống 3000px

Tranh luận sôi nổi nhất 7 ngày qua

Tranh luận sôi nổi nhất 14 ngày qua

Tranh luận sôi nổi nhất 30 ngày qua

10.000 Tin mới nhất

Tin tức Hoa Kỳ

Tin tức Công nghệ
Lên đầu Xuống dưới Lên 3000px Xuống 3000px

Super News

School Cooking Traveling Portal

Enter Portal

Series Shows and Movies Online

Home Classic Master Page

Donation Ủng hộ $3 cho VietBF
Lên đầu Xuống dưới Lên 3000px Xuống 3000px
Diễn Đàn Người Việt Hải Ngoại. Tự do ngôn luận, an toàn và uy tín. Vì một tương lai tươi đẹp cho các thế hệ Việt Nam hãy ghé thăm chúng tôi, hãy tâm sự với chúng tôi mỗi ngày, mỗi giờ và mỗi giây phút có thể. VietBF.Com Xin cám ơn các bạn, chúc tất cả các bạn vui vẻ và gặp nhiều may mắn.
Welcome to Vietnamese American Community, Vietnamese European, Canadian, Australian Forum, Vietnamese Overseas Forum. Freedom of speech, safety and prestige. For a beautiful future for Vietnamese generations, please visit us, talk to us every day, every hour and every moment possible. VietBF.Com Thank you all and good luck.

Lên đầu Xuống dưới Lên 3000px Xuống 3000px

All times are GMT. The time now is 05:18.
VietBF - Vietnamese Best Forum Copyright ©2005 - 2025
User Alert System provided by Advanced User Tagging (Pro) - vBulletin Mods & Addons Copyright © 2025 DragonByte Technologies Ltd.
Log Out Unregistered

Page generated in 0.11765 seconds with 13 queries