HOME-Au
HOME-Au
24h
24h
USA
USA
GOP
GOP
Phim Bộ
Phim Bộ
Videoauto
VIDEO-Au
Home Classic
Home Classic
Donation
Donation
News Book
News Book
News 50
News 50
worldautoscroll
WORLD-Au
Breaking
Breaking
 

Go Back   VietBF > World Box| Thế Giới > Vietnam News | Tin Việt Nam > 2005-2023 Vietnam News


 
 
Thread Tools
  #1  
Old  vnchcir Người đàn ông bị đứt lìa chân vì máy cắt cỏ
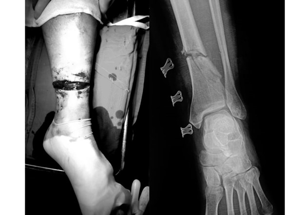
Một người đàn ông ở Hòa Binh đã bị lưỡi máy cắt cỏ văng trúng chân trong lúc làm việc. Được người thân đưa vào viện với tình trạng vết thương rất nặng. Dưới đây là những thông tin cụ thể. Khi ông L. đang cắt cỏ, lưỡi cưa không may vấp vào viên đá, vỡ và cắt vào chân do máy cắt cỏ đã bị tháo tấm sắt chắn lưỡi cưa.

Ngày 31/12/2019, Bệnh viện Hữu nghị Việt Đức tiếp nhận trường hợp một người đàn ông bị tai nạn khi cắt cỏ, khiến lưỡi cưa cắt đứt chân.

Bệnh nhân tên B.V.L (56 tuổi, ở Hòa Bình) nhập viện trong tình trạng vết thương hở đứt 3/4 chu vi cẳng chân trái, chảy nhiều máu. Bệnh nhân bị mất vận động cổ chân và các ngón chân, gãy hở xương, đứt hoàn toàn các gân cơ khu trước và sau cẳng chân, đứt bó mạch chày sau, chày trước.



Người nhà của bệnh nhân cho hay, khi ông L. đang cắt cỏ, lưỡi cưa không may vấp vào viên đá, vỡ và cắt vào chân do máy cắt cỏ đã bị tháo tấm sắt chắn lưỡi cưa.

Sau khi xảy ra tai nạn, ông L. đã được sơ cứu băng ép tại bệnh viện huyện, sau đó chuyển Bệnh viện Hữu nghị Việt Đức vào ngày 31/12/2019.

Bác sỹ Hoàng Minh Thắng - Khoa Phẫu thuật Chi trên và Y học thể thao cho biết, người bệnh đã được cố định ngoài xương chày, nối gân, thần kinh, nối động mạch chày trước, chày sau.

Hiện tại sau mổ, tình trạng bệnh nhân đã ổn định, đầu chi hồng ấm, mạch chày trước, chày sau rõ và đang được hướng dẫn tập phục hồi chức năng.

Bác sỹ Thắng khuyến cáo, người dân cần có ý thức đảm bảo an toàn lao động, kiểm tra dụng cụ kỹ lưỡng trước khi sử dụng nhằm tránh những tai nạn đáng tiếc./.
VIETBF Diễn Đàn Hay Nhất Của Người Việt Nam

HOT NEWS 24h

HOT 3 Days

NEWS 3 Days

HOT 7 Days

NEWS 7 Days

HOME

Breaking News

VietOversea

World News

Business News

Car News

Computer News

Game News

USA News

Mobile News

Music News

Movies News

History

Thơ Ca

Sport News

Stranger Stories

Comedy Stories

Cooking Chat

Nice Pictures

Fashion

School

Travelling

Funny Videos

Canada Tin Hay

USA Tin Hay

10.000 Tin mới nhất

Tin nóng nhất 24h qua

Super News

Tin tức Hoa Kỳ


Romano
R11 Tuyệt Thế Thiên Hạ
Romano's Avatar
Release: 01-03-2020
Reputation: 344517


Profile:
Join Date: May 2007
Posts: 136,783
Last Update: None Rating: None
Attached Thumbnails
Click image for larger version

Name:	cang_chan.jpg
Views:	0
Size:	39.5 KB
ID:	1509064  
Romano_is_offline
Thanks: 9
Thanked 6,545 Times in 5,491 Posts
Mentioned: 3 Post(s)
Tagged: 0 Thread(s)
Quoted: 38 Post(s)
Rep Power: 172
Romano Reputation Uy Tín Level 10Romano Reputation Uy Tín Level 10Romano Reputation Uy Tín Level 10Romano Reputation Uy Tín Level 10Romano Reputation Uy Tín Level 10Romano Reputation Uy Tín Level 10
Romano Reputation Uy Tín Level 10Romano Reputation Uy Tín Level 10Romano Reputation Uy Tín Level 10Romano Reputation Uy Tín Level 10Romano Reputation Uy Tín Level 10Romano Reputation Uy Tín Level 10Romano Reputation Uy Tín Level 10Romano Reputation Uy Tín Level 10Romano Reputation Uy Tín Level 10Romano Reputation Uy Tín Level 10Romano Reputation Uy Tín Level 10Romano Reputation Uy Tín Level 10Romano Reputation Uy Tín Level 10Romano Reputation Uy Tín Level 10Romano Reputation Uy Tín Level 10Romano Reputation Uy Tín Level 10Romano Reputation Uy Tín Level 10Romano Reputation Uy Tín Level 10
Old 01-03-2020   #2
8thui
R6 Đệ Nhất Cao Thủ
 
8thui's Avatar
 
Join Date: Aug 2018
Posts: 2,914
Thanks: 1,499
Thanked 1,689 Times in 917 Posts
Mentioned: 5 Post(s)
Tagged: 0 Thread(s)
Quoted: 364 Post(s)
Rep Power: 10
8thui Reputation Uy Tín Level 6
8thui Reputation Uy Tín Level 68thui Reputation Uy Tín Level 68thui Reputation Uy Tín Level 68thui Reputation Uy Tín Level 68thui Reputation Uy Tín Level 68thui Reputation Uy Tín Level 68thui Reputation Uy Tín Level 68thui Reputation Uy Tín Level 68thui Reputation Uy Tín Level 68thui Reputation Uy Tín Level 68thui Reputation Uy Tín Level 68thui Reputation Uy Tín Level 68thui Reputation Uy Tín Level 68thui Reputation Uy Tín Level 6
Default

Tui có 2 chữ cho cha này.............Đồ NGU
8thui_is_offline  
 
User Tag List



 
Lên đầu Xuống dưới Lên 3000px Xuống 3000px

VietBF Homepage Autoscroll

VietBF Video Autoscroll Portal

USA News Autoscroll Portall

VietBF WORLD Autoscroll Portal

Home Classic

Super Widescreen

Tin nóng nhất 24h qua

Tin nóng nhất 3 ngày qua

Tin nóng nhất 7 ngày qua

Tin nóng nhất 30 ngày qua

Albums

Total Videos Online
Lên đầu Xuống dưới Lên 3000px Xuống 3000px

Tranh luận sôi nổi nhất 7 ngày qua

Tranh luận sôi nổi nhất 14 ngày qua

Tranh luận sôi nổi nhất 30 ngày qua

10.000 Tin mới nhất

Tin tức Hoa Kỳ

Tin tức Công nghệ
Lên đầu Xuống dưới Lên 3000px Xuống 3000px

Super News

School Cooking Traveling Portal

Enter Portal

Series Shows and Movies Online

Home Classic Master Page

Donation Ủng hộ $3 cho VietBF
Lên đầu Xuống dưới Lên 3000px Xuống 3000px
Diễn Đàn Người Việt Hải Ngoại. Tự do ngôn luận, an toàn và uy tín. Vì một tương lai tươi đẹp cho các thế hệ Việt Nam hãy ghé thăm chúng tôi, hãy tâm sự với chúng tôi mỗi ngày, mỗi giờ và mỗi giây phút có thể. VietBF.Com Xin cám ơn các bạn, chúc tất cả các bạn vui vẻ và gặp nhiều may mắn.
Welcome to Vietnamese American Community, Vietnamese European, Canadian, Australian Forum, Vietnamese Overseas Forum. Freedom of speech, safety and prestige. For a beautiful future for Vietnamese generations, please visit us, talk to us every day, every hour and every moment possible. VietBF.Com Thank you all and good luck.

Lên đầu Xuống dưới Lên 3000px Xuống 3000px

All times are GMT. The time now is 12:10.
VietBF - Vietnamese Best Forum Copyright ©2005 - 2025
User Alert System provided by Advanced User Tagging (Pro) - vBulletin Mods & Addons Copyright © 2025 DragonByte Technologies Ltd.
Log Out Unregistered

Page generated in 0.12501 seconds with 15 queries