HOME-Au
HOME-Au
24h
24h
USA
USA
GOP
GOP
Phim Bộ
Phim Bộ
Videoauto
VIDEO-Au
Home Classic
Home Classic
Donation
Donation
News Book
News Book
News 50
News 50
worldautoscroll
WORLD-Au
Breaking
Breaking
 

Go Back   VietBF > Others (Closed Forums) > Archive - Old News 2012 (closed)

 
 
Thread Tools
Default Cậu bé người Trung quốc mang hàm răng ma cà rồng
Old 12-22-2012   #1
saigon75
R10 Vô Địch Thiên Hạ
 
saigon75's Avatar
 
Join Date: Dec 2006
Posts: 54,629
Thanks: 1,521
Thanked 4,892 Times in 1,268 Posts
Mentioned: 0 Post(s)
Tagged: 0 Thread(s)
Quoted: 0 Post(s)
Rep Power: 73
saigon75 Reputation Uy Tín Level 2saigon75 Reputation Uy Tín Level 2saigon75 Reputation Uy Tín Level 2saigon75 Reputation Uy Tín Level 2saigon75 Reputation Uy Tín Level 2saigon75 Reputation Uy Tín Level 2
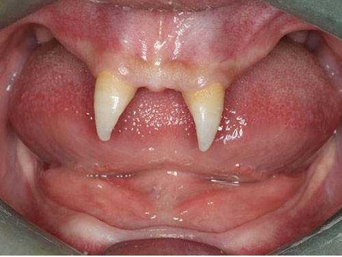
Một cậu bé Trung Quốc đã lớn lên với 2 chiếc răng cửa sắc nhọn khiến cho cuộc sống của cậu gặp rất nhiều khó khăn.


Cậu bé Trung Quốc có hàm răng phát triển lạ kì

Wang Pengfei, 16 tuổi, sống tại thành phố Trùng Khánh, tây nam Trung Quốc. Sinh ra đã mắc phải một chứng bệnh lạ, Pengfei có rất ít tóc và chỉ mọc duy nhất 2 chiếc răng nhọn hoắt.

Bà Wang Hui - mẹ của Pengfei đã đưa cậu đến bệnh viện địa phương để kiểm tra y tế hồi đầu tuần. Bà Wang cũng đã nhiều lần đưa con đi khám với mong muốn sẽ có cách chữa trị hàm răng cho con trai nhưng đều không nhận được kết quả khả quan.

Theo các bác sĩ ở bệnh viện Tây Nam, Pengfei chỉ có thể phẫu thuật khi ở tuổi trưởng thành. Chi phí cho ca phẫu thuật này là khoảng 70.000 đến 80.000 nhân dân tệ (tương đương 235 đến 270 triệu đồng).


Hình chụp X-quang của Wang Pengfei
Bà Wang vô cùng lo lắng về tình trạng của con trai, cậu càng ngày càng thu mình vào thế giới riêng, cô lập với mọi người trong suốt thời gian niên thiếu.

Wang Pengfei đã tấn công bạn bè cùng lớp khi họ nhìn chằm chằm hoặc thì thầm bàn tán về cậu. Cậu bé rất mất tự tin với tình trạng của mình, thậm chí cậu còn không bao giờ chịu chụp hình.

Mẹ của Pengfei cho biết: “Tôi rất lo lắng, thằng bé không có bạn bè và dần dần nhận ra rằng nó khác với những đứa trẻ khác”.

Linh San (Theo The Sun)
NLD

Ý kiến độc giả

Ynguyen
Thằng Tàu chệt này thể hiện bản chất hút máu của giống Tàu chuyên "xẻ thịt" các "dân tộc anh em" nhất là Việt Nam.
Những thằng chưa lộ răng ra còn ghê gớm bằng trăm lần nó.
saigon75_is_offline  
Attached Thumbnails
Click image for larger version

Name:	cafengoctung5 (4).jpg
Views:	14
Size:	35.8 KB
ID:	432851  
Old 12-22-2012   #2
lyphan05
R4 Cao Thủ Võ Lâm
 
Join Date: Dec 2006
Posts: 805
Thanks: 0
Thanked 4 Times in 4 Posts
Mentioned: 0 Post(s)
Tagged: 0 Thread(s)
Quoted: 0 Post(s)
Rep Power: 19
lyphan05 Reputation Uy Tín Level 1
Default

Ba Xao ...Xao rang nhu vay la thuong..o AN DO co nguoi sinh ra co duoi dai thi sao...chuyen thong thuong..Xao.
lyphan05_is_offline  
Old 12-22-2012   #3
Song Song
R5 Cao Thủ Thượng Thừa
 
Join Date: Oct 2007
Posts: 1,330
Thanks: 0
Thanked 0 Times in 0 Posts
Mentioned: 0 Post(s)
Tagged: 0 Thread(s)
Quoted: 0 Post(s)
Rep Power: 20
Song Song Reputation Uy Tín Level 1
Default

tội nghiệp quá
Song Song_is_offline  
 
User Tag List



 
Lên đầu Xuống dưới Lên 3000px Xuống 3000px

VietBF Homepage Autoscroll

VietBF Video Autoscroll Portal

USA News Autoscroll Portall

VietBF WORLD Autoscroll Portal

Home Classic

Super Widescreen

Tin nóng nhất 24h qua

Tin nóng nhất 3 ngày qua

Tin nóng nhất 7 ngày qua

Tin nóng nhất 30 ngày qua

Albums

Total Videos Online
Lên đầu Xuống dưới Lên 3000px Xuống 3000px

Tranh luận sôi nổi nhất 7 ngày qua

Tranh luận sôi nổi nhất 14 ngày qua

Tranh luận sôi nổi nhất 30 ngày qua

10.000 Tin mới nhất

Tin tức Hoa Kỳ

Tin tức Công nghệ
Lên đầu Xuống dưới Lên 3000px Xuống 3000px

Super News

School Cooking Traveling Portal

Enter Portal

Series Shows and Movies Online

Home Classic Master Page

Donation Ủng hộ $3 cho VietBF
Lên đầu Xuống dưới Lên 3000px Xuống 3000px
Diễn Đàn Người Việt Hải Ngoại. Tự do ngôn luận, an toàn và uy tín. Vì một tương lai tươi đẹp cho các thế hệ Việt Nam hãy ghé thăm chúng tôi, hãy tâm sự với chúng tôi mỗi ngày, mỗi giờ và mỗi giây phút có thể. VietBF.Com Xin cám ơn các bạn, chúc tất cả các bạn vui vẻ và gặp nhiều may mắn.
Welcome to Vietnamese American Community, Vietnamese European, Canadian, Australian Forum, Vietnamese Overseas Forum. Freedom of speech, safety and prestige. For a beautiful future for Vietnamese generations, please visit us, talk to us every day, every hour and every moment possible. VietBF.Com Thank you all and good luck.

Lên đầu Xuống dưới Lên 3000px Xuống 3000px

All times are GMT. The time now is 16:49.
VietBF - Vietnamese Best Forum Copyright ©2005 - 2025
User Alert System provided by Advanced User Tagging (Pro) - vBulletin Mods & Addons Copyright © 2025 DragonByte Technologies Ltd.
Log Out Unregistered

Page generated in 0.13773 seconds with 15 queries