HOME-Au
HOME-Au
24h
24h
USA
USA
GOP
GOP
Phim Bộ
Phim Bộ
Videoauto
VIDEO-Au
Home Classic
Home Classic
Donation
Donation
News Book
News Book
News 50
News 50
worldautoscroll
WORLD-Au
Breaking
Breaking
 

Go Back   VietBF > World Box| Thế Giới > World News|Tin Thế Giới


Reply
 
Thread Tools
  #1  
Old  Default Các bác sĩ tìm thấy "sợi vàng nguyên chất" trong đầu gối của người phụ nữ
Trong lúc điều trị thoái hóa khớp gối, bác sĩ Hàn Quốc bất ngờ phát hiện hàng trăm sợi chỉ vàng cấy trong chân một phụ nữ 65 tuổi.

.
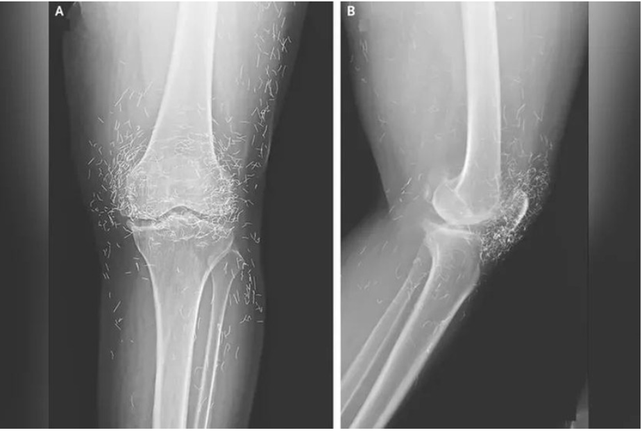
Ảnh chụp X-quang cho thấy hàng trăm sợi chỉ vàng trong đầu gối của nữ bệnh nhân. Ảnh: OddCentral.
Trong quá trình điều trị thoái hóa khớp gối cho một phụ nữ 65 tuổi, các bác sĩ ở Hàn Quốc đã phát hiện hàng trăm sợi chỉ vàng nguyên chất được cấy vào chân bà.

Bệnh nhân giấu tên này từng bị đau nhức dữ dội và cứng khớp gối do thoái hóa khớp. Trước đó, bà đã được kê thuốc giảm đau, thuốc chống viêm không steroid và thậm chí cả tiêm steroid trực tiếp vào khớp gối, nhưng không phương pháp nào đủ hiệu quả để giúp bà trở lại cuộc sống bình thường, không đau đớn. Không những thế, các loại thuốc còn gây tác dụng phụ nghiêm trọng, bao gồm đau dạ dày dữ dội.

Vì vậy, bà quyết định thử một phương pháp y học thay thế gây tranh cãi – châm cứu bằng chỉ vàng để giảm đau.

Ban đầu, bệnh nhân thực hiện các buổi châm cứu hàng tuần, trong đó những sợi chỉ vàng nhỏ được cấy xung quanh đầu gối. Tuy nhiên, thay vì giảm đau, tình trạng thoái hóa khớp của bà lại nặng thêm. Vì thế, bà tăng số lần đi châm cứu lên nhiều buổi mỗi tuần. Cuối cùng, khi cơn đau trở nên quá dữ dội, bà buộc phải quay lại bệnh viện.

Kết quả chụp X-quang cho thấy tình trạng dày và cứng bất thường ở phần xương chày trong, sự phát triển của gai xương quanh đầu gối – những triệu chứng điển hình của thoái hóa khớp – cùng với hàng trăm sợi chỉ vàng li ti được cấy vào các mô quanh khớp.

Các bác sĩ cảnh báo rằng châm cứu bằng chỉ vàng không hề có lợi ích y học nào được chứng minh, mà ngược lại tiềm ẩn nhiều nguy cơ. Những sợi chỉ nhỏ có thể gây u nang, di chuyển trong cơ thể và làm tổn thương mô xung quanh. Ngoài ra, chúng có thể khiến bệnh nhân không thể thực hiện các xét nghiệm MRI cứu mạng, do nguy cơ dịch chuyển kim loại gây tổn thương mạch máu.

Phương pháp này đã được sử dụng từ lâu ở một số nước châu Á để điều trị nhiều dạng đau nhức khác nhau, và vẫn khá phổ biến, đặc biệt là ở người cao tuổi. Người ta tin rằng việc cấy những sợi vàng tiệt trùng vào cơ thể sẽ tạo ra kích thích liên tục và giảm đau.

Tuy nhiên, cho đến nay chưa có bằng chứng khoa học nào xác nhận lợi ích của nó. Trái lại, nó thường khiến bệnh tình tệ hơn, vì bệnh nhân trì hoãn việc điều trị y tế hiệu quả.

VietBF@ sưu tập
VIETBF Diễn Đàn Hay Nhất Của Người Việt Nam

HOT NEWS 24h

HOT 3 Days

NEWS 3 Days

HOT 7 Days

NEWS 7 Days

HOME

Breaking News

VietOversea

World News

Business News

Car News

Computer News

Game News

USA News

Mobile News

Music News

Movies News

History

Thơ Ca

Sport News

Stranger Stories

Comedy Stories

Cooking Chat

Nice Pictures

Fashion

School

Travelling

Funny Videos

Canada Tin Hay

USA Tin Hay

10.000 Tin mới nhất

Tin nóng nhất 24h qua

Super News

Tin tức Hoa Kỳ


PinaColada
R11 Tuyệt Thế Thiên Hạ
Release: 3 Weeks Ago
Reputation: 136903


Profile:
Join Date: Oct 2013
Posts: 117,191
Last Update: None Rating: None
Attached Thumbnails
Click image for larger version

Name:	121.PNG
Views:	0
Size:	378.1 KB
ID:	2573004  
PinaColada_is_offline
Thanks: 9
Thanked 7,830 Times in 6,960 Posts
Mentioned: 2 Post(s)
Tagged: 0 Thread(s)
Quoted: 23 Post(s)
Rep Power: 135
PinaColada Reputation Uy Tín Level 9PinaColada Reputation Uy Tín Level 9PinaColada Reputation Uy Tín Level 9PinaColada Reputation Uy Tín Level 9PinaColada Reputation Uy Tín Level 9
PinaColada Reputation Uy Tín Level 9PinaColada Reputation Uy Tín Level 9PinaColada Reputation Uy Tín Level 9PinaColada Reputation Uy Tín Level 9PinaColada Reputation Uy Tín Level 9PinaColada Reputation Uy Tín Level 9PinaColada Reputation Uy Tín Level 9PinaColada Reputation Uy Tín Level 9PinaColada Reputation Uy Tín Level 9PinaColada Reputation Uy Tín Level 9PinaColada Reputation Uy Tín Level 9PinaColada Reputation Uy Tín Level 9PinaColada Reputation Uy Tín Level 9PinaColada Reputation Uy Tín Level 9PinaColada Reputation Uy Tín Level 9PinaColada Reputation Uy Tín Level 9PinaColada Reputation Uy Tín Level 9PinaColada Reputation Uy Tín Level 9PinaColada Reputation Uy Tín Level 9PinaColada Reputation Uy Tín Level 9PinaColada Reputation Uy Tín Level 9
Reply

User Tag List



 
Lên đầu Xuống dưới Lên 3000px Xuống 3000px

VietBF Homepage Autoscroll

VietBF Video Autoscroll Portal

USA News Autoscroll Portall

VietBF WORLD Autoscroll Portal

Home Classic

Super Widescreen

Tin nóng nhất 24h qua

Tin nóng nhất 3 ngày qua

Tin nóng nhất 7 ngày qua

Tin nóng nhất 30 ngày qua

Albums

Total Videos Online
Lên đầu Xuống dưới Lên 3000px Xuống 3000px

Tranh luận sôi nổi nhất 7 ngày qua

Tranh luận sôi nổi nhất 14 ngày qua

Tranh luận sôi nổi nhất 30 ngày qua

10.000 Tin mới nhất

Tin tức Hoa Kỳ

Tin tức Công nghệ
Lên đầu Xuống dưới Lên 3000px Xuống 3000px

Super News

School Cooking Traveling Portal

Enter Portal

Series Shows and Movies Online

SERIES ONLINE 1

Donation Ủng hộ $3 cho VietBF
Lên đầu Xuống dưới Lên 3000px Xuống 3000px
Diễn Đàn Người Việt Hải Ngoại. Tự do ngôn luận, an toàn và uy tín. Vì một tương lai tươi đẹp cho các thế hệ Việt Nam hãy ghé thăm chúng tôi, hãy tâm sự với chúng tôi mỗi ngày, mỗi giờ và mỗi giây phút có thể. VietBF.Com Xin cám ơn các bạn, chúc tất cả các bạn vui vẻ và gặp nhiều may mắn.
Welcome to Vietnamese American Community, Vietnamese European, Canadian, Australian Forum, Vietnamese Overseas Forum. Freedom of speech, safety and prestige. For a beautiful future for Vietnamese generations, please visit us, talk to us every day, every hour and every moment possible. VietBF.Com Thank you all and good luck.

Lên đầu Xuống dưới Lên 3000px Xuống 3000px

All times are GMT. The time now is 07:07.
VietBF - Vietnamese Best Forum Copyright ©2005 - 2025
User Alert System provided by Advanced User Tagging (Pro) - vBulletin Mods & Addons Copyright © 2025 DragonByte Technologies Ltd.
Log Out Unregistered

Page generated in 0.10947 seconds with 15 queries