HOME-Au
HOME-Au
24h
24h
USA
USA
GOP
GOP
Phim Bộ
Phim Bộ
Videoauto
VIDEO-Au
Home Classic
Home Classic
Donation
Donation
News Book
News Book
News 50
News 50
worldautoscroll
WORLD-Au
Breaking
Breaking
 

Go Back   VietBF > Other News|Tin Khác > School | Kiến thức


Reply
 
Thread Tools
  #1  
Old  Default Thói quen sinh hoạt của cô gái 25 tuổi ngừng tim liên tục
Bệnh viện Nhân dân 115 (TPHCM) vừa cứu sống cô gái 25 tuổi bị ngừng tim nhiều lần. Bác sĩ nhận định đây là một ca bệnh hiếm gặp.

Ngày 3/8, BS.CK2 Cao Hoài Tuấn Anh, Phó giám đốc Bệnh viện Nhân dân 115 (TPHCM) thông tin, Khoa Cấp cứu vừa ghi nhận một ca bệnh rất hy hữu, "có thể chỉ gặp một lần trong đời".

Bệnh nhân là nữ nhân viên văn phòng (25 tuổi), sống một mình, thường xuyên hút thuốc lá điện tử. Cô được đưa vào viện trong tình trạng hôn mê, huyết áp tụt sâu, sau đó nhanh chóng diễn tiến ngưng tuần hoàn hô hấp. Hai ngày trước đó, bệnh nhân xuất hiện triệu chứng mệt mỏi, lú lẫn đã đi khám tại bệnh viện khác nhưng các xét nghiệm đều bình thường.

Ngay khi tiếp nhận, ê-kíp cấp cứu của Bệnh viện Nhân dân 115 đã khởi động quy trình hồi sinh tim phổi nâng cao với ép tim, đặt nội khí quản, thở máy và sử dụng thuốc vận mạch. Sau 20 phút, tim bệnh nhân đập lại nhưng rất yếu, huyết áp không đo được.


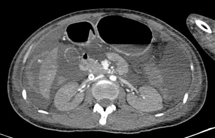
Dịch ổ bụng lượng nhiều, nghi ngờ chảy máu ổ bụng trên phim chụp cắt lớp vi tính. Ảnh: BVCC

Trước nguy cơ bệnh nhân tử vong cao, quyết định can thiệp ECMO (oxy hóa màng ngoài cơ thể) được đưa ra ngay lập tức. Đội ECMO gồm 4 bác sĩ do ThS.BS Nguyễn Hữu Tín dẫn đầu đã thực hiện thành công kỹ thuật này trong điều kiện tim người bệnh liên tục ngừng đập.

Trong quá trình điều trị, bệnh nhân xuất hiện biến chứng chảy máu nội nghiêm trọng với chỉ số hemoglobin giảm xuống chỉ còn 5.5 g/dL. Đặc biệt, bệnh nhân có nhóm máu A Rh(-), một nhóm máu cực kỳ hiếm.

Ngay lập tức, bệnh viện đã huy động khẩn cấp nguồn máu từ Bệnh viện Truyền máu Huyết học và kêu gọi hiến máu từ toàn thể nhân viên. Qua siêu âm và chụp cắt lớp, ê-kíp phát hiện ổ chảy máu vùng gan.

Sau hơn 1 tuần điều trị, bệnh nhân đã ổn định, ngưng ECMO, cai máy thở, tỉnh táo, các chức năng gan, thận, tri giác cải thiện rõ rệt. Đáng chú ý, dù bị ngừng tuần hoàn hô hấp nhiều lần, bệnh nhân không để lại di chứng thần kinh.


Hiện bệnh nhân đã hồi phục tích cực. Ảnh: BVCC

Nguyên nhân gây bệnh vẫn chưa được làm rõ hoàn toàn do bệnh nhân chưa thể cung cấp thông tin chi tiết về những gì đã sử dụng trước khi mắc bệnh.

"Hiện bệnh nhân còn yếu, các bác sĩ chưa thể khai thác chính xác các chất đã sử dụng trước khi nhập viện. Thời gian tới, khi người bệnh hồi phục, tinh thần ổn định hơn, bệnh viện sẽ làm rõ nguyên nhân để có hướng điều trị triệt để, tránh tái phát, đồng thời có những khuyến cáo đến người dân", bác sĩ Tuấn Anh cho biết thêm.
VIETBF Diễn Đàn Hay Nhất Của Người Việt Nam

HOT NEWS 24h

HOT 3 Days

NEWS 3 Days

HOT 7 Days

NEWS 7 Days

HOME

Breaking News

VietOversea

World News

Business News

Car News

Computer News

Game News

USA News

Mobile News

Music News

Movies News

History

Thơ Ca

Sport News

Stranger Stories

Comedy Stories

Cooking Chat

Nice Pictures

Fashion

School

Travelling

Funny Videos

Canada Tin Hay

USA Tin Hay

10.000 Tin mới nhất

Tin nóng nhất 24h qua

Super News

Tin tức Hoa Kỳ


TinNhanh247
R9 Tuyệt Đỉnh Tôn Sư
Release: 08-03-2025
Reputation: 14043


Profile:
Join Date: Oct 2014
Posts: 38,660
Last Update: None Rating: None
Attached Thumbnails
Click image for larger version

Name:	1988c03a0374ea2ab365.jpg
Views:	0
Size:	43.1 KB
ID:	2556812  
TinNhanh247_is_offline
Thanks: 16
Thanked 1,791 Times in 1,629 Posts
Mentioned: 3 Post(s)
Tagged: 0 Thread(s)
Quoted: 11 Post(s)
Rep Power: 49
TinNhanh247 Reputation Uy Tín Level 6
TinNhanh247 Reputation Uy Tín Level 6TinNhanh247 Reputation Uy Tín Level 6TinNhanh247 Reputation Uy Tín Level 6TinNhanh247 Reputation Uy Tín Level 6TinNhanh247 Reputation Uy Tín Level 6TinNhanh247 Reputation Uy Tín Level 6TinNhanh247 Reputation Uy Tín Level 6TinNhanh247 Reputation Uy Tín Level 6TinNhanh247 Reputation Uy Tín Level 6TinNhanh247 Reputation Uy Tín Level 6TinNhanh247 Reputation Uy Tín Level 6TinNhanh247 Reputation Uy Tín Level 6TinNhanh247 Reputation Uy Tín Level 6TinNhanh247 Reputation Uy Tín Level 6TinNhanh247 Reputation Uy Tín Level 6TinNhanh247 Reputation Uy Tín Level 6TinNhanh247 Reputation Uy Tín Level 6
Reply

User Tag List



 
Lên đầu Xuống dưới Lên 3000px Xuống 3000px

VietBF Homepage Autoscroll

VietBF Video Autoscroll Portal

USA News Autoscroll Portall

VietBF WORLD Autoscroll Portal

Home Classic

Super Widescreen

Tin nóng nhất 24h qua

Tin nóng nhất 3 ngày qua

Tin nóng nhất 7 ngày qua

Tin nóng nhất 30 ngày qua

Albums

Total Videos Online
Lên đầu Xuống dưới Lên 3000px Xuống 3000px

Tranh luận sôi nổi nhất 7 ngày qua

Tranh luận sôi nổi nhất 14 ngày qua

Tranh luận sôi nổi nhất 30 ngày qua

10.000 Tin mới nhất

Tin tức Hoa Kỳ

Tin tức Công nghệ
Lên đầu Xuống dưới Lên 3000px Xuống 3000px

Super News

School Cooking Traveling Portal

Enter Portal

Series Shows and Movies Online

SERIES ONLINE 1

Donation Ủng hộ $3 cho VietBF
Lên đầu Xuống dưới Lên 3000px Xuống 3000px
Diễn Đàn Người Việt Hải Ngoại. Tự do ngôn luận, an toàn và uy tín. Vì một tương lai tươi đẹp cho các thế hệ Việt Nam hãy ghé thăm chúng tôi, hãy tâm sự với chúng tôi mỗi ngày, mỗi giờ và mỗi giây phút có thể. VietBF.Com Xin cám ơn các bạn, chúc tất cả các bạn vui vẻ và gặp nhiều may mắn.
Welcome to Vietnamese American Community, Vietnamese European, Canadian, Australian Forum, Vietnamese Overseas Forum. Freedom of speech, safety and prestige. For a beautiful future for Vietnamese generations, please visit us, talk to us every day, every hour and every moment possible. VietBF.Com Thank you all and good luck.

Lên đầu Xuống dưới Lên 3000px Xuống 3000px

All times are GMT. The time now is 09:27.
VietBF - Vietnamese Best Forum Copyright ©2005 - 2025
User Alert System provided by Advanced User Tagging (Pro) - vBulletin Mods & Addons Copyright © 2025 DragonByte Technologies Ltd.
Log Out Unregistered

Page generated in 0.11425 seconds with 15 queries