HOME-Au
HOME-Au
24h
24h
USA
USA
GOP
GOP
Phim Bộ
Phim Bộ
Videoauto
VIDEO-Au
Home Classic
Home Classic
Donation
Donation
News Book
News Book
News 50
News 50
worldautoscroll
WORLD-Au
Breaking
Breaking
 

Go Back   VietBF > Other News|Tin Khác > School | Kiến thức > School | Kiến thức 2006-2019


 
 
Thread Tools
  #1  
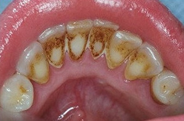
Old  Default Loại bỏ hoàn toàn mảng bám và vết ố đen trên răng ngay tại nhà với các nguyên liệu từ thiên nhiên
Chúng ta đều biết rằng khi nói đến việc loại bỏ mảng bám, vết ố đen, các nha sĩ sẽ thực hiện công việc này một cách hoàn hảo. Tuy nhiên, có rất nhiều công thức tự nhiên có thể giúp bạn thoát khỏi các mảng bám cứng đầu này ngay ở nhà.



Công thức 1:
Thành phần cần thiết:
30g vỏ quả óc chó
Nước
Phương pháp chuẩn bị:
Đặt vỏ quả óc chó trong một cái bát, thêm nước và đặt hỗn hợp trên lửa. Đun trong 15 phút.
Ngâm bàn chải đánh răng của bạn trong hỗn hợp kết quả và đánh răng của bạn trong 5 phút.
Lặp lại phương pháp này vào buổi sáng, buổi chiều và buổi tối.
Công thức 2:
Thành phần cần thiết:
4 muỗng canh hạt hướng dương
4 muỗng canh hoa cây bồ đề
1 lít nước
Phương pháp chuẩn bị:
Cho nguyên liệu vào một cái bát, bao gồm chúng với nước và đặt bát bạn đang sử dụng trên lửa thấp. Đun hỗn hợp trong nửa giờ.
Đánh răng bằng hỗn hợp kết quả sau mỗi bữa ăn.
Công thức 3:
Giấm táo cũng có thể được sử dụng để loại bỏ mảng bám, nhưng chỉ một lần một tuần. Ngâm bàn chải đánh răng của bạn trong giấm táo và đánh răng của bạn. Rửa sạch khoang miệng bằng nước để không làm hỏng men răng của bạn.


pizza@VietBF © sưu tầm
VIETBF Diễn Đàn Hay Nhất Của Người Việt Nam

HOT NEWS 24h

HOT 3 Days

NEWS 3 Days

HOT 7 Days

NEWS 7 Days

HOME

Breaking News

VietOversea

World News

Business News

Car News

Computer News

Game News

USA News

Mobile News

Music News

Movies News

History

Thơ Ca

Sport News

Stranger Stories

Comedy Stories

Cooking Chat

Nice Pictures

Fashion

School

Travelling

Funny Videos

Canada Tin Hay

USA Tin Hay

VietBF Homepage Autoscroll

VietBF Video Autoscroll Portal

Home Classic

Home Classic Master Page


pizza
R11 Tuyệt Thế Thiên Hạ
Release: 02-27-2015
Reputation: 237120


Profile:
Join Date: Sep 2014
Posts: 105,540
Last Update: None Rating: None
Attached Thumbnails
Click image for larger version

Name:	how-to-remove-plaque-without-going-to-the-dentist.jpg
Views:	0
Size:	70.0 KB
ID:	745421  
pizza_is_offline
Thanks: 7
Thanked 8,089 Times in 7,199 Posts
Mentioned: 6 Post(s)
Tagged: 0 Thread(s)
Quoted: 41 Post(s)
Rep Power: 128
pizza Reputation Uy Tín Level 10pizza Reputation Uy Tín Level 10pizza Reputation Uy Tín Level 10pizza Reputation Uy Tín Level 10pizza Reputation Uy Tín Level 10pizza Reputation Uy Tín Level 10pizza Reputation Uy Tín Level 10
pizza Reputation Uy Tín Level 10pizza Reputation Uy Tín Level 10pizza Reputation Uy Tín Level 10pizza Reputation Uy Tín Level 10pizza Reputation Uy Tín Level 10pizza Reputation Uy Tín Level 10pizza Reputation Uy Tín Level 10pizza Reputation Uy Tín Level 10pizza Reputation Uy Tín Level 10pizza Reputation Uy Tín Level 10pizza Reputation Uy Tín Level 10pizza Reputation Uy Tín Level 10pizza Reputation Uy Tín Level 10pizza Reputation Uy Tín Level 10pizza Reputation Uy Tín Level 10pizza Reputation Uy Tín Level 10pizza Reputation Uy Tín Level 10pizza Reputation Uy Tín Level 10pizza Reputation Uy Tín Level 10pizza Reputation Uy Tín Level 10pizza Reputation Uy Tín Level 10pizza Reputation Uy Tín Level 10
Old 02-28-2015   #2
freenet
R6 Đệ Nhất Cao Thủ
 
freenet's Avatar
 
Join Date: May 2007
Posts: 4,624
Thanks: 0
Thanked 595 Times in 339 Posts
Mentioned: 0 Post(s)
Tagged: 0 Thread(s)
Quoted: 120 Post(s)
Rep Power: 23
freenet Reputation Uy Tín Level 6
freenet Reputation Uy Tín Level 6freenet Reputation Uy Tín Level 6freenet Reputation Uy Tín Level 6freenet Reputation Uy Tín Level 6freenet Reputation Uy Tín Level 6freenet Reputation Uy Tín Level 6freenet Reputation Uy Tín Level 6freenet Reputation Uy Tín Level 6freenet Reputation Uy Tín Level 6freenet Reputation Uy Tín Level 6freenet Reputation Uy Tín Level 6freenet Reputation Uy Tín Level 6
Default

quả óc chó , <<<< thua luôn , hihihi
freenet_is_offline  
Old 03-03-2015   #3
huynguyensinh
R4 Cao Thủ Vơ Lâm
 
huynguyensinh's Avatar
 
Join Date: Nov 2013
Location: Sai gon
Posts: 588
Thanks: 5
Thanked 81 Times in 59 Posts
Mentioned: 0 Post(s)
Tagged: 0 Thread(s)
Quoted: 15 Post(s)
Rep Power: 12
huynguyensinh Reputation Uy Tín Level 1
Default

cả 3 phương cách rất hiện quả... nếu áp dụng suốt 3 năm
huynguyensinh_is_offline  
 
User Tag List

Thread Tools


 
Lên đầu Xuống dưới Lên 3000px Xuống 3000px

iPad Videos Portal Autoscroll

VietBF Music Portal Autoscroll

iPad News Portal Autoscroll

VietBF Homepage Autoscroll

VietBF Video Autoscroll Portal

USA News Autoscroll Portall

VietBF WORLD Autoscroll Portal

Home Classic

Super Widescreen

Tin nóng nhất 24h qua

Tin nóng nhất 3 ngày qua

Tin nóng nhất 7 ngày qua

Tin nóng nhất 30 ngày qua

Albums

Total Videos Online
Lên đầu Xuống dưới Lên 3000px Xuống 3000px

Tranh luận sôi nổi nhất 7 ngày qua

Tranh luận sôi nổi nhất 14 ngày qua

Tranh luận sôi nổi nhất 30 ngày qua

10.000 Tin mới nhất

Tin tức Hoa Kỳ

Tin tức Công nghệ
Lên đầu Xuống dưới Lên 3000px Xuống 3000px

Super News

School Cooking Traveling Portal

Enter Portal

Series Shows and Movies Online

Home Classic Master Page

Donation Ủng hộ $3 cho VietBF
Lên đầu Xuống dưới Lên 3000px Xuống 3000px
Diễn Đàn Người Việt Hải Ngoại. Tự do ngôn luận, an toàn và uy tín. V́ một tương lai tươi đẹp cho các thế hệ Việt Nam hăy ghé thăm chúng tôi, hăy tâm sự với chúng tôi mỗi ngày, mỗi giờ và mỗi giây phút có thể. VietBF.Com Xin cám ơn các bạn, chúc tất cả các bạn vui vẻ và gặp nhiều may mắn.
Welcome to Vietnamese American Community, Vietnamese European, Canadian, Australian Forum, Vietnamese Overseas Forum. Freedom of speech, safety and prestige. For a beautiful future for Vietnamese generations, please visit us, talk to us every day, every hour and every moment possible. VietBF.Com Thank you all and good luck.

Lên đầu Xuống dưới Lên 3000px Xuống 3000px

All times are GMT. The time now is 08:25.
VietBF - Vietnamese Best Forum Copyright ©2005 - 2025
User Alert System provided by Advanced User Tagging (Pro) - vBulletin Mods & Addons Copyright © 2025 DragonByte Technologies Ltd.
Log Out Unregistered

Page generated in 0.10966 seconds with 15 queries