HOME-Au
HOME-Au
24h
24h
USA
USA
GOP
GOP
Phim Bộ
Phim Bộ
Videoauto
VIDEO-Au
Home Classic
Home Classic
Donation
Donation
News Book
News Book
News 50
News 50
worldautoscroll
WORLD-Au
Breaking
Breaking
 

Go Back   VietBF > World Box| Thế Giới > World News|Tin Thế Giới


Reply
 
Thread Tools
  #1  
Old  Default Bé gái 11 tuổi mọc 81 chiếc răng
Theo như dư luận mới đây xôn xao vì câu chuyện của bé gái 11 tuổi mọc 81 chiếc răng trong miệng, vượt xa số lượng răng trung bình của một người trưởng thành. Thông thường, một người trưởng thành có 32 chiếc răng. Việc sở hữu răng thừa, hay còn gọi là "răng siêu số", là một bất thường phát triển hiếm gặp. Tuy nhiên, việc có nhiều răng thừa như trường hợp này, được gọi là đa răng, lại càng cực kỳ hiếm, đặc biệt ở những người không mắc các bệnh lý hoặc tình trạng di truyền khác.

Một trường hợp y khoa cực kỳ hiếm gặp đã gây chấn động giới khoa học và truyền thông quốc tế, khi một bé gái 11 tuổi ở Brazil được phát hiện có tới 81 chiếc răng trong miệng, vượt xa số lượng răng trung bình của một người trưởng thành. Tin tức về trường hợp đặc biệt này, bao gồm 31 chiếc răng thừa, đã nhanh chóng được đăng tải trên một tạp chí y khoa uy tín và trở thành tâm điểm chú ý toàn cầu.
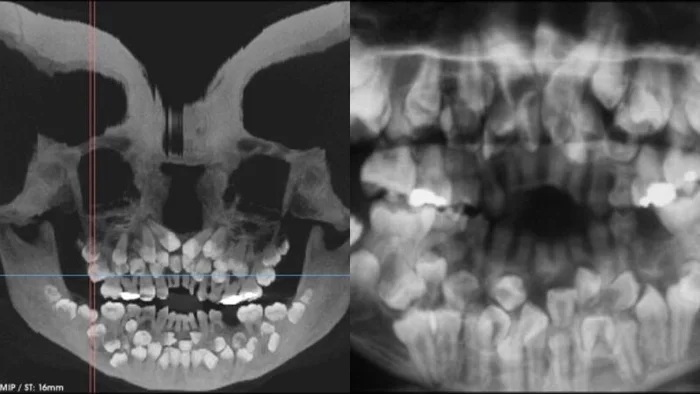
Sự việc bắt đầu khi một bé gái 11 tuổi 8 tháng tuổi đến phòng khám nha khoa ở Minas Gerais, Brazil, với mong muốn nhổ bỏ hàng răng sữa trên cùng vẫn chưa rụng. Tuy nhiên, kết quả chụp X-quang đã hé lộ một sự thật không ngờ: tổng cộng có 18 răng sữa, 32 răng vĩnh viễn và đáng kinh ngạc là 31 chiếc răng thừa ẩn sâu bên trong hàm.

Khi thăm khám ban đầu, các bác sĩ nhận thấy chỉ có 5 răng vĩnh viễn đã mọc, trong khi phần lớn răng sữa vẫn còn nguyên vẹn. Để có cái nhìn toàn diện hơn về tình trạng răng miệng của bệnh nhân, bác sĩ đã chỉ định chụp X-quang tổng quát và chụp sọ nghiêng. Những hình ảnh này không chỉ xác nhận số lượng răng bất thường mà còn cho thấy nhiều răng bị biến dạng và nằm sâu trong nướu, khiến việc phân biệt giữa răng bình thường và răng thừa trở nên vô cùng khó khăn.

Thông thường, một người trưởng thành có 32 chiếc răng. Việc sở hữu răng thừa, hay còn gọi là "răng siêu số", là một bất thường phát triển hiếm gặp. Tuy nhiên, việc có nhiều răng thừa như trường hợp này, được gọi là đa răng, lại càng cực kỳ hiếm, đặc biệt ở những người không mắc các bệnh lý hoặc tình trạng di truyền khác. Theo giải thích của các bác sĩ, răng thừa có thể xuất hiện ở bất kỳ vị trí nào trên cung răng và ảnh hưởng đến sự phát triển bình thường của các răng khác.
Một số bệnh lý thường liên quan đến tình trạng đa răng bao gồm: khe hở môi và vòm miệng, hội chứng Trichohinophalangeal , loạn sản xương đòn sọ và hội chứng Gardner.

Nhóm nghiên cứu từ Bệnh viện Nha khoa thuộc Đại học Liên bang Huesca ở Brazil đã công bố chi tiết về trường hợp đặc biệt này trên Tạp chí của Viện Hàn lâm Chỉnh nha và Phẫu thuật Miệng và Hàm mặt Hoa Kỳ. Để tìm hiểu nguyên nhân, các nhà nghiên cứu đã sử dụng hình ảnh chính xác để xác định vị trí răng và tiến hành xét nghiệm di truyền. Kết quả xét nghiệm nhiễm sắc thể cho thấy bé gái này có một đột biến gen hiếm gặp. Tuy nhiên, mối liên hệ nhân quả trực tiếp giữa đột biến gen và tình trạng đa răng vẫn cần được làm sáng tỏ thêm.

Trước tình hình phức tạp của các răng thừa nằm sâu trong nướu, việc nhổ răng một cách bừa bãi có thể gây tổn thương nghiêm trọng đến xương hàm. Do đó, nhóm nghiên cứu đã quy tụ các chuyên gia hàng đầu trong lĩnh vực chỉnh nha, phẫu thuật miệng, nha chu và phục hình răng để cùng thảo luận và xây dựng một kế hoạch điều trị dài hạn. Mục tiêu là bảo vệ sức khỏe răng miệng của bé gái, đảm bảo cô bé có thể duy trì hàm răng khỏe mạnh trong tương lai.
VIETBF Diễn Đàn Hay Nhất Của Người Việt Nam

HOT NEWS 24h

HOT 3 Days

NEWS 3 Days

HOT 7 Days

NEWS 7 Days

HOME

Breaking News

VietOversea

World News

Business News

Car News

Computer News

Game News

USA News

Mobile News

Music News

Movies News

History

Thơ Ca

Sport News

Stranger Stories

Comedy Stories

Cooking Chat

Nice Pictures

Fashion

School

Travelling

Funny Videos

Canada Tin Hay

USA Tin Hay

VietBF Homepage Autoscroll

VietBF Video Autoscroll Portal

Home Classic

Home Classic Master Page


vuitoichat
R11 Tuyệt Thế Thiên Hạ
Release: 07-20-2025
Reputation: 370292


Profile:
Join Date: Jan 2008
Posts: 148,232
Last Update: None Rating: None
Attached Thumbnails
Click image for larger version

Name:	1.jpg
Views:	0
Size:	61.5 KB
ID:	2551237  
vuitoichat_is_offline
Thanks: 11
Thanked 14,060 Times in 11,223 Posts
Mentioned: 3 Post(s)
Tagged: 1 Thread(s)
Quoted: 44 Post(s)
Rep Power: 184
vuitoichat Reputation Uy Tín Level 10vuitoichat Reputation Uy Tín Level 10vuitoichat Reputation Uy Tín Level 10vuitoichat Reputation Uy Tín Level 10vuitoichat Reputation Uy Tín Level 10
vuitoichat Reputation Uy Tín Level 10vuitoichat Reputation Uy Tín Level 10vuitoichat Reputation Uy Tín Level 10
Reply

User Tag List



 
Lên đầu Xuống dưới Lên 3000px Xuống 3000px

VietBF Homepage Autoscroll

VietBF Video Autoscroll Portal

USA News Autoscroll Portall

VietBF WORLD Autoscroll Portal

Home Classic

Super Widescreen

Tin nóng nhất 24h qua

Tin nóng nhất 3 ngày qua

Tin nóng nhất 7 ngày qua

Tin nóng nhất 30 ngày qua

Albums

Total Videos Online
Lên đầu Xuống dưới Lên 3000px Xuống 3000px

Tranh luận sôi nổi nhất 7 ngày qua

Tranh luận sôi nổi nhất 14 ngày qua

Tranh luận sôi nổi nhất 30 ngày qua

10.000 Tin mới nhất

Tin tức Hoa Kỳ

Tin tức Công nghệ
Lên đầu Xuống dưới Lên 3000px Xuống 3000px

Super News

School Cooking Traveling Portal

Enter Portal

Series Shows and Movies Online

Home Classic Master Page

Donation Ủng hộ $3 cho VietBF
Lên đầu Xuống dưới Lên 3000px Xuống 3000px
Diễn Đàn Người Việt Hải Ngoại. Tự do ngôn luận, an toàn và uy tín. Vì một tương lai tươi đẹp cho các thế hệ Việt Nam hãy ghé thăm chúng tôi, hãy tâm sự với chúng tôi mỗi ngày, mỗi giờ và mỗi giây phút có thể. VietBF.Com Xin cám ơn các bạn, chúc tất cả các bạn vui vẻ và gặp nhiều may mắn.
Welcome to Vietnamese American Community, Vietnamese European, Canadian, Australian Forum, Vietnamese Overseas Forum. Freedom of speech, safety and prestige. For a beautiful future for Vietnamese generations, please visit us, talk to us every day, every hour and every moment possible. VietBF.Com Thank you all and good luck.

Lên đầu Xuống dưới Lên 3000px Xuống 3000px

All times are GMT. The time now is 17:16.
VietBF - Vietnamese Best Forum Copyright ©2005 - 2025
User Alert System provided by Advanced User Tagging (Pro) - vBulletin Mods & Addons Copyright © 2025 DragonByte Technologies Ltd.
Log Out Unregistered

Page generated in 0.11184 seconds with 15 queries