HOME-Au
HOME-Au
24h
24h
USA
USA
GOP
GOP
Phim Bộ
Phim Bộ
Videoauto
VIDEO-Au
Home Classic
Home Classic
Donation
Donation
News Book
News Book
News 50
News 50
worldautoscroll
WORLD-Au
Breaking
Breaking
 

Go Back   VietBF > Other News|Tin Khác > School | Kiến thức


Reply
 
Thread Tools
  #1  
Old  Default Người đàn ông phát hiện cùng lúc 2 bệnh ung thư từ dấu hiệu rất nhẹ
Ông R. thường xuyên ho nhẹ nhưng thời gian kéo dài nên đi kiểm tra sức khỏe. Kết quả, bác sĩ phát hiện ông mắc 2 loại ung thư cùng lúc, đã ở giai đoạn muộn.
Đồng mắc ung thư phổi và đại tràng
Ông B.H.R (70 tuổi, cao 1,5m, nặng 58kg), mắc đái tháo đường type 2 đang điều trị ổn định. Ông đến Bệnh viện Bạch Mai (Hà Nội) khám vì triệu chứng ho nhẹ nhưng kéo dài.

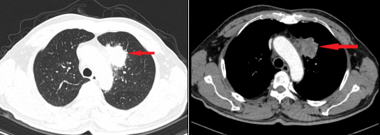
Qua thăm khám và chụp CT lồng ngực, bác sĩ phát hiện nam bệnh nhân có khối u ở thùy trên phổi trái, được xác định là ung thư biểu mô tuyến phổi giai đoạn muộn. Nội soi đại tràng tiếp tục phát hiện một khối loét, kết quả sinh thiết cho thấy ung thư biểu mô tuyến đại tràng giai đoạn sớm, thuộc dạng kém biệt hóa (tế bào ung thư phát triển nhanh, khó kiểm soát). Các xét nghiệm CT ổ bụng, MRI sọ não và siêu âm hạch cổ chưa ghi nhận di căn.

Theo Phó giáo sư, bác sĩ Phạm Cẩm Phương, Giám đốc Trung tâm Y học hạt nhân và Ung bướu (Bệnh viện Bạch Mai), trường hợp đồng mắc hai ung thư nguyên phát này rất hiếm, chỉ chiếm 0,6% tổng số ca ung thư. Hai khối u có đặc điểm mô bệnh học khác nhau, không liên quan di căn, khiến việc điều trị phức tạp.


Khối u tại phổi của bệnh nhân. Ảnh: TTCC.
Hiện chưa có phác đồ chuẩn cho trường hợp này, nhưng bệnh nhân sẽ được ưu tiên hóa trị và xạ trị cho ung thư phổi do mức độ ác tính cao, sau đó cân nhắc phẫu thuật ung thư đại tràng kèm điều trị bổ trợ.

Theo bác sĩ Phương, trường hợp của ông R. cho thấy nguy cơ bỏ sót ung thư nếu chỉ tập trung vào triệu chứng chính (ho). Các chuyên gia khuyến cáo người lớn tuổi, đặc biệt những người có bệnh nền như đái tháo đường, cần tầm soát định kỳ và kiểm tra toàn diện, không chỉ giới hạn ở cơ quan có triệu chứng bất thường. Phát hiện sớm giúp tăng cơ hội điều trị thành công.

7 cách phòng ngừa ung thư hiệu quả
Theo Tổ chức Y tế Thế giới (WHO), 30-50% số ca ung thư có thể phòng ngừa thông qua lối sống lành mạnh và tầm soát sớm. Dưới đây là 7 lưu ý thiết thực:

Tránh thuốc lá: Thuốc lá gây ung thư phổi và liên quan đến hơn 15 loại ung thư khác. Cai thuốc là bước đầu tiên để bảo vệ sức khỏe.

Duy trì cân nặng hợp lý: Béo phì làm tăng nguy cơ ung thư vú, đại tràng, gan. Hãy giữ chỉ số BMI trong ngưỡng 18,5-24,9.

Ăn uống lành mạnh: Tăng cường rau xanh, trái cây, ngũ cốc nguyên hạt; hạn chế thịt đỏ, thực phẩm chế biến sẵn và rượu bia.

Tập thể dục đều đặn: 30 phút vận động mỗi ngày giúp giảm nguy cơ ung thư vú, đại tràng.

Hạn chế rượu bia: Rượu bia là yếu tố nguy cơ của ung thư gan, thực quản. Hãy uống có chừng mực hoặc kiêng hẳn.

Tầm soát định kỳ: Nội soi đại tràng, chụp nhũ ảnh, xét nghiệm máu giúp phát hiện ung thư trước khi có triệu chứng.

Quản lý bệnh mạn tính: Kiểm soát tốt đái tháo đường, viêm gan để giảm nguy cơ ung thư.

Ung thư không còn là án tử nếu được phát hiện sớm. Bác sĩ khuyến cáo người dân nên chủ động thăm khám định kỳ, đặc biệt khi có dấu hiệu bất thường như ho kéo dài, mệt mỏi, hoặc thay đổi thói quen tiêu hóa.

VietBF@ sưu tập
VIETBF Diễn Đàn Hay Nhất Của Người Việt Nam

HOT NEWS 24h

HOT 3 Days

NEWS 3 Days

HOT 7 Days

NEWS 7 Days

HOME

Breaking News

VietOversea

World News

Business News

Car News

Computer News

Game News

USA News

Mobile News

Music News

Movies News

History

Thơ Ca

Sport News

Stranger Stories

Comedy Stories

Cooking Chat

Nice Pictures

Fashion

School

Travelling

Funny Videos

Canada Tin Hay

USA Tin Hay

10.000 Tin mới nhất

Tin nóng nhất 24h qua

Super News

Tin tức Hoa Kỳ


pizza
R11 Tuyệt Thế Thiên Hạ
Release: 07-17-2025
Reputation: 237090


Profile:
Join Date: Sep 2014
Posts: 104,733
Last Update: None Rating: None
Attached Thumbnails
Click image for larger version

Name:	221.png
Views:	0
Size:	116.6 KB
ID:	2549924  
pizza_is_offline
Thanks: 7
Thanked 8,074 Times in 7,184 Posts
Mentioned: 6 Post(s)
Tagged: 0 Thread(s)
Quoted: 41 Post(s)
Rep Power: 127
pizza Reputation Uy Tín Level 10pizza Reputation Uy Tín Level 10pizza Reputation Uy Tín Level 10pizza Reputation Uy Tín Level 10pizza Reputation Uy Tín Level 10pizza Reputation Uy Tín Level 10pizza Reputation Uy Tín Level 10
pizza Reputation Uy Tín Level 10pizza Reputation Uy Tín Level 10pizza Reputation Uy Tín Level 10pizza Reputation Uy Tín Level 10pizza Reputation Uy Tín Level 10pizza Reputation Uy Tín Level 10pizza Reputation Uy Tín Level 10pizza Reputation Uy Tín Level 10pizza Reputation Uy Tín Level 10pizza Reputation Uy Tín Level 10pizza Reputation Uy Tín Level 10pizza Reputation Uy Tín Level 10pizza Reputation Uy Tín Level 10pizza Reputation Uy Tín Level 10pizza Reputation Uy Tín Level 10pizza Reputation Uy Tín Level 10pizza Reputation Uy Tín Level 10pizza Reputation Uy Tín Level 10pizza Reputation Uy Tín Level 10pizza Reputation Uy Tín Level 10pizza Reputation Uy Tín Level 10pizza Reputation Uy Tín Level 10
Reply

User Tag List



 
Lên đầu Xuống dưới Lên 3000px Xuống 3000px

VietBF Homepage Autoscroll

VietBF Video Autoscroll Portal

USA News Autoscroll Portall

VietBF WORLD Autoscroll Portal

Home Classic

Super Widescreen

Tin nóng nhất 24h qua

Tin nóng nhất 3 ngày qua

Tin nóng nhất 7 ngày qua

Tin nóng nhất 30 ngày qua

Albums

Total Videos Online
Lên đầu Xuống dưới Lên 3000px Xuống 3000px

Tranh luận sôi nổi nhất 7 ngày qua

Tranh luận sôi nổi nhất 14 ngày qua

Tranh luận sôi nổi nhất 30 ngày qua

10.000 Tin mới nhất

Tin tức Hoa Kỳ

Tin tức Công nghệ
Lên đầu Xuống dưới Lên 3000px Xuống 3000px

Super News

School Cooking Traveling Portal

Enter Portal

Series Shows and Movies Online

SERIES ONLINE 1

Donation Ủng hộ $3 cho VietBF
Lên đầu Xuống dưới Lên 3000px Xuống 3000px
Diễn Đàn Người Việt Hải Ngoại. Tự do ngôn luận, an toàn và uy tín. Vì một tương lai tươi đẹp cho các thế hệ Việt Nam hãy ghé thăm chúng tôi, hãy tâm sự với chúng tôi mỗi ngày, mỗi giờ và mỗi giây phút có thể. VietBF.Com Xin cám ơn các bạn, chúc tất cả các bạn vui vẻ và gặp nhiều may mắn.
Welcome to Vietnamese American Community, Vietnamese European, Canadian, Australian Forum, Vietnamese Overseas Forum. Freedom of speech, safety and prestige. For a beautiful future for Vietnamese generations, please visit us, talk to us every day, every hour and every moment possible. VietBF.Com Thank you all and good luck.

Lên đầu Xuống dưới Lên 3000px Xuống 3000px

All times are GMT. The time now is 07:13.
VietBF - Vietnamese Best Forum Copyright ©2005 - 2025
User Alert System provided by Advanced User Tagging (Pro) - vBulletin Mods & Addons Copyright © 2025 DragonByte Technologies Ltd.
Log Out Unregistered

Page generated in 0.11877 seconds with 15 queries