HOME-Au
HOME-Au
24h
24h
USA
USA
GOP
GOP
Phim Bộ
Phim Bộ
Videoauto
VIDEO-Au
Home Classic
Home Classic
Donation
Donation
News Book
News Book
News 50
News 50
worldautoscroll
WORLD-Au
Breaking
Breaking
 

Go Back   VietBF > Other News|Tin Khác > School | Kiến thức


Reply
 
Thread Tools
  #1  
Old  Default KHÔNG CÓ AI CÓ THỂ KHẲNG ĐỊNH CHẮC CHẮN BẠN BỊ UNG THƯ...

Có nghĩa là..... nếu bác sĩ nói rằng bạn bị ung thư bạn cũng không cần quá lo lắng....
Bởi vì không có bất kỳ bác sĩ, máy móc, hay xét nghiệm nào trên thế giới có thể chẩn đoán chính xác rằng 1 người........ "đang bị ung thư" ........ hay "không bị ung thư".
Các nghiên cứu trong các tạp chí y học đỉnh cao như:
Nature Reviews Cancer
JAMA Oncology
BMJ (British Medical Journal)
....... đều khẳng định rằng:
“Ngay cả khi sinh thiết xác nhận u ác tính .... vẫn cần kết hợp nhiều yếu tố khác .... và không bao giờ dám chắc 100%.”
..... 3 tạp chí nêu đều là những “ông lớn” hàng đầu của thế giới y học hiện đại, và nếu 1 nghiên cứu được đăng trên đó thì được xem là cực kỳ có trọng lượng, đến mức không ai trong ngành y dám xem thường.....
Nên nếu 1 bài viết khoa học trích dẫn 3 nguồn này, thì gần như:
-> Không ai trong ngành y có thể chối cãi.... vì đây là "giáo trình ngầm" mà cả thế giới y học công nhận....
Các tạp chí y khoa lớn nhất thế giới cũng đã nói rõ:
“Diagnosis of cancer is inherently probabilistic.”
(Chẩn đoán ung thư luôn mang tính xác suất, không phải tuyệt đối)
Để bạn dễ hiểu hơn, bạn tưởng tượng trong 1 thành phố (cơ thể bạn), có:
- Người tốt ..... làm đúng việc
- Người hơi lộn xộn ..... hay thay đổi, hơi phá
- Người phản động .... làm bậy, giành đất, chiếm nhà
..... Ung thư chính là một số người dân (tế bào) đang hành động nguy hiểm ...... nhưng lại không ghi tên trên trán là “Tôi là ung thư”.
Không có cái bảng nào treo lên nói: “Đây là tế bào ung thư.”
Vậy bác sĩ làm sao biết bạn bị ung thư?
Bác sĩ không nhìn thấy tận mắt ung thư chạy trong người bạn.....
Họ chỉ:
- Cắt ra 1 miếng nhỏ xíu (sinh thiết)
- Nhìn bằng kính hiển vi: thấy tế bào méo mó, chen chúc
- Chụp ảnh: thấy chỗ nào sáng rực
- Xét nghiệm máu: thấy vài chất tăng cao
-> Rồi dựa vào những dấu hiệu đó ... rồi đoán rằng: “Có thể là ung thư.”
Nhưng đây là điều cực kỳ quan trọng:
Những thứ bác sĩ thấy KHÔNG PHẢI là ung thư .... mà chỉ là dấu hiệu GIỐNG ung thư ... bởi vì....
- Viêm cũng làm tế bào méo
- Phục hồi cũng làm chỗ đó sáng
- Stress, thiếu máu, nhiễm độc cũng làm chỉ số máu tăng
Vậy là: Không ai đang “nhìn thấy” ung thư thật .... chỉ đang “suy luận” qua các dấu vết.
Bản chất ung thư là 1 quá trình .... chứ không phải 1 vật thể...
Ung thư là:
- 1 nhóm tế bào sinh sản vô tổ chức
- Có thể đang phát triển
- Có thể đang ngủ yên
- Có thể đang bị cơ thể tiêu diệt từ từ
..... Nhưng bác sĩ chỉ thấy 1 khoảnh khắc .... giống như chụp ảnh 1 đứa trẻ đang cười .... không biết trước đó nó khóc hay sau đó nó té.
Bác sĩ chỉ nhìn được 1 lát nhỏ ... và không ai thấy được toàn cảnh cơ thể ... nên không ai có thể khẳng định 100% bạn bị ung thư ....
Chỉ có thể nói: “Với những dấu hiệu hiện có .... tôi NGHI ngờ ung thư.”
Ung thư không phải là 1 con vi trùng có thể bắt được tận tay, mà là 1 quá trình rối loạn âm thầm của chính cơ thể ..... bác sĩ chỉ nhìn được 1 lát nhỏ, nên chẩn đoán ung thư luôn là phán đoán .... không bao giờ là sự thật tuyệt đối.”
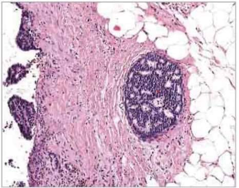
Vậy sinh thiết có cho kết luận chính xác không?
Ảnh bên dưới là mẫu sinh thiết trong 1 nghiên cứu tại Mỹ.... ảnh này là 1 lát cắt mô học (dưới kính hiển vi, nhuộm H&E), với:
- 1 vùng tế bào đậm màu, tăng sinh mạnh (ở giữa)
- Xung quanh là mô sợi bao quanh ... rất giống “màng xơ” mình từng mô tả ở bài trước
- Nhiều vùng mỡ trắng (bên phải)
- Các vùng viêm hoặc hoại tử nhẹ (bên trái)
Và ảnh này được gửi cho các chuyên gia bệnh học ở 8 bang khác nhau. Kết quả:
- 33% trong số họ chẩn đoán là mô bình thường
- 48% cho là bất thường (có tăng sinh nhưng chưa chắc là ung thư)
- 19% kết luận là ung thư
Tức là: Cùng 1 hình ảnh .... 3 kết luận hoàn toàn khác nhau!
Chứng tỏ ngay cả ví dụ với sinh thiết thì độ chính xác hoàn toàn giống như là tung 1 đồng xu....

VietBF@sưu tập
VIETBF Diễn Đàn Hay Nhất Của Người Việt Nam

HOT NEWS 24h

HOT 3 Days

NEWS 3 Days

HOT 7 Days

NEWS 7 Days

HOME

Breaking News

VietOversea

World News

Business News

Car News

Computer News

Game News

USA News

Mobile News

Music News

Movies News

History

Thơ Ca

Sport News

Stranger Stories

Comedy Stories

Cooking Chat

Nice Pictures

Fashion

School

Travelling

Funny Videos

Canada Tin Hay

USA Tin Hay

VietBF Homepage Autoscroll

VietBF Video Autoscroll Portal

Home Classic

Home Classic Master Page


goodidea
R10 Vô Địch Thiên Hạ
Release: 05-28-2025
Reputation: 207797


Profile:
Join Date: Mar 2020
Posts: 57,402
Last Update: None Rating: None
Attached Thumbnails
Click image for larger version

Name:	63.jpg
Views:	0
Size:	33.4 KB
ID:	2530133  
goodidea_is_offline
Thanks: 68
Thanked 3,410 Times in 2,947 Posts
Mentioned: 0 Post(s)
Tagged: 0 Thread(s)
Quoted: 34 Post(s)
Rep Power: 73
goodidea Reputation Uy Tín Level 10goodidea Reputation Uy Tín Level 10goodidea Reputation Uy Tín Level 10goodidea Reputation Uy Tín Level 10
goodidea Reputation Uy Tín Level 10goodidea Reputation Uy Tín Level 10goodidea Reputation Uy Tín Level 10goodidea Reputation Uy Tín Level 10goodidea Reputation Uy Tín Level 10goodidea Reputation Uy Tín Level 10goodidea Reputation Uy Tín Level 10goodidea Reputation Uy Tín Level 10goodidea Reputation Uy Tín Level 10goodidea Reputation Uy Tín Level 10goodidea Reputation Uy Tín Level 10goodidea Reputation Uy Tín Level 10goodidea Reputation Uy Tín Level 10goodidea Reputation Uy Tín Level 10goodidea Reputation Uy Tín Level 10goodidea Reputation Uy Tín Level 10goodidea Reputation Uy Tín Level 10goodidea Reputation Uy Tín Level 10goodidea Reputation Uy Tín Level 10goodidea Reputation Uy Tín Level 10goodidea Reputation Uy Tín Level 10goodidea Reputation Uy Tín Level 10
Reply

User Tag List

Thread Tools


 
Lên đầu Xuống dưới Lên 3000px Xuống 3000px

iPad Videos Portal Autoscroll

VietBF Music Portal Autoscroll

iPad News Portal Autoscroll

VietBF Homepage Autoscroll

VietBF Video Autoscroll Portal

USA News Autoscroll Portall

VietBF WORLD Autoscroll Portal

Home Classic

Super Widescreen

iPad World Portal Autoscroll

iPad USA Portal Autoscroll

Phim Bộ Online

Tin nóng nhất 24h qua

Tin nóng nhất 3 ngày qua

Tin nóng nhất 7 ngày qua

Tin nóng nhất 30 ngày qua

Albums

Total Videos Online
Lên đầu Xuống dưới Lên 3000px Xuống 3000px

Tranh luận sôi nổi nhất 7 ngày qua

Tranh luận sôi nổi nhất 14 ngày qua

Tranh luận sôi nổi nhất 30 ngày qua

10.000 Tin mới nhất

Tin tức Hoa Kỳ

Tin tức Công nghệ
Lên đầu Xuống dưới Lên 3000px Xuống 3000px

Super News

School Cooking Traveling Portal

Enter Portal

Series Shows and Movies Online

Home Classic Master Page

Donation Ủng hộ $3 cho VietBF
Lên đầu Xuống dưới Lên 3000px Xuống 3000px
Diễn Đàn Người Việt Hải Ngoại. Tự do ngôn luận, an toàn và uy tín. Vì một tương lai tươi đẹp cho các thế hệ Việt Nam hãy ghé thăm chúng tôi, hãy tâm sự với chúng tôi mỗi ngày, mỗi giờ và mỗi giây phút có thể. VietBF.Com Xin cám ơn các bạn, chúc tất cả các bạn vui vẻ và gặp nhiều may mắn.
Welcome to Vietnamese American Community, Vietnamese European, Canadian, Australian Forum, Vietnamese Overseas Forum. Freedom of speech, safety and prestige. For a beautiful future for Vietnamese generations, please visit us, talk to us every day, every hour and every moment possible. VietBF.Com Thank you all and good luck.

Lên đầu Xuống dưới Lên 3000px Xuống 3000px

All times are GMT. The time now is 20:37.
VietBF - Vietnamese Best Forum Copyright ©2005 - 2025
User Alert System provided by Advanced User Tagging (Pro) - vBulletin Mods & Addons Copyright © 2025 DragonByte Technologies Ltd.
Log Out Unregistered

Page generated in 0.10339 seconds with 15 queries