HOME-Au
HOME-Au
24h
24h
USA
USA
GOP
GOP
Phim Bộ
Phim Bộ
Videoauto
VIDEO-Au
Home Classic
Home Classic
Donation
Donation
News Book
News Book
News 50
News 50
worldautoscroll
WORLD-Au
Breaking
Breaking
 

Go Back   VietBF > World Box| Thế Giới > Vietnam News | Tin Việt Nam


Reply
 
Thread Tools
  #1  
Old  Default Người đàn ông nghiện rượu có mủ đặc quánh bao quanh tim hiếm gặp
Bệnh nhân có dấu hiệu đau ngực, mệt mỏi, khó thở tăng dần trong suốt 2 tháng trước khi nhập viện, đi khám nhiều nơi nhưng không phát hiện ra bệnh chính xác và điều trị không cải thiện.
Ngày 4/6, Bệnh viện Nhân dân 115 (TP.HCM) cho biết bệnh viện vừa điều trị thành công một trường hợp tràn mủ màng ngoài tim lượng lớn. Đây là một bệnh lý hiếm gặp, có thể nguy hiểm đến tính mạng nếu không được phát hiện và xử trí kịp thời.

BSCKII Dương Văn Mười Một - Trưởng khoa Phẫu thuật tim - Lồng ngực mạch máu, Bệnh viện Nhân dân 115 - chia sẻ người bệnh bắt đầu có dấu hiệu đau ngực, mệt mỏi, khó thở tăng dần trong suốt 2 tháng trước khi nhập viện. Bệnh nhân đã từng đi khám nhiều nơi nhưng không phát hiện ra bệnh chính xác và điều trị không cải thiện. Được biết, bệnh nhân có tiền sử nghiện rượu lâu năm, xơ gan và đái tháo đường.

"Bệnh nhân nhập Bệnh viện Nhân dân 115 trong tình trạng suy kiệt toàn thân, phải thở oxy liều cao, huyết áp tụt và mạch rất nhanh, phù toàn thân", BSCKII Dương Văn Mười Một cho hay.

Qua siêu âm, các bác sĩ phát hiện một khối dịch lớn gần 11 cm bao quanh tim. Khối dịch được xác định là nguyên nhân khiến tim bị ép chặt, co bóp khó khăn, đe dọa tính mạng người bệnh từng giây.

Trước tình hình nguy cấp, các chuyên gia của khoa Nội tim mạch, phẫu thuật tim, chẩn đoán hình ảnh, hô hấp, nội tiêu hóa đã hội chẩn và quyết định can thiệp chọc hút dịch mủ ra khỏi màng ngoài tim khẩn cấp.


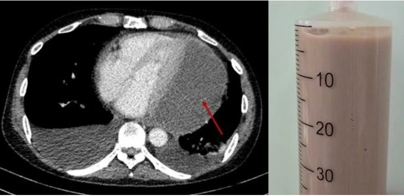
Chụp CT lồng ngực ghi nhận lớp dịch mủ chèn ép tim (mũi tên đỏ) và dịch mủ đặc rút ra được qua chọc dịch màng ngoài tim. Ảnh: BVCC.
"Đây là một ca chọc hút phức tạp và tiềm ẩn nhiều nguy cơ do khối mủ nằm ở vị trí khó tiếp cận, dịch đặc quánh. Tuy nhiên, các bác sĩ đã hút thành công 500ml mủ đặc, giảm nhanh áp lực lên tim", trưởng khoa Phẫu thuật tim - Lồng ngực mạch máu cho biết.

Kết quả xét nghiệm cho thấy đây là một ca viêm mủ màng ngoài tim nặng không do vi khuẩn lao hay ký sinh trùng.

Bệnh nhân tiếp tục được phẫu thuật mở cửa sổ màng tim để tiếp tục dẫn lưu toàn bộ dịch mủ còn lại. Đồng thời, điều trị tích cực bằng kháng sinh mạnh, điều trị bệnh nền chặt chẽ, nâng đỡ thể trạng...

Nhờ được can thiệp kịp thời và tích cực, chỉ sau 2 tuần điều trị người bệnh hồi phục ngoạn mục. Bệnh nhân không còn đau ngực hay khó thở, ăn uống tốt, vận động bình thường, không ghi nhận dịch quanh tim, bệnh nền như xơ gan và đái tháo đường cũng được kiểm soát ổn định.

BSCKII Dương Văn Mười Một cho hay tràn mủ màng ngoài tim là một tình trạng nhiễm trùng nghiêm trọng. Bệnh rất hiếm gặp, khoảng 1/18.000 người.

Bệnh đặc trưng bởi sự tích tụ mủ trong khoang màng ngoài tim (lớp màng bao quanh tim). Nếu không được chẩn đoán và điều trị kịp thời, tình trạng này có thể đe dọa tính mạng.

Mủ tích tụ có thể lan vào máu gây nhiễm trùng nặng toàn thân, chèn ép tim làm cản trở máu lưu thông, dẫn đến tụt huyết áp, sốc và thậm chí đột ngột ngưng tim gây tử vong.

Bệnh thường có triệu chứng thường không rõ ràng. Khi mắc bệnh, bệnh nhân có thể cảm thấy đau ngực, mệt mỏi, khó thở nhẹ…

Những người có hệ miễn dịch yếu, mắc bệnh mạn tính (như xơ gan, đái tháo đường, ung thư…) hoặc nghiện rượu sẽ có nguy cơ mắc bệnh cao hơn.

Tại Việt Nam, các trường hợp tràn mủ màng ngoài tim ở người lớn rất hiếm gặp và chưa có nhiều báo cáo về các trường hợp tương tự.

VietBF@ sưu tập
VIETBF Diễn Đàn Hay Nhất Của Người Việt Nam

HOT NEWS 24h

HOT 3 Days

NEWS 3 Days

HOT 7 Days

NEWS 7 Days

HOME

Breaking News

VietOversea

World News

Business News

Car News

Computer News

Game News

USA News

Mobile News

Music News

Movies News

History

Thơ Ca

Sport News

Stranger Stories

Comedy Stories

Cooking Chat

Nice Pictures

Fashion

School

Travelling

Funny Videos

Canada Tin Hay

USA Tin Hay

10.000 Tin mới nhất

Tin nóng nhất 24h qua

Super News

Tin tức Hoa Kỳ


pizza
R11 Tuyệt Thế Thiên Hạ
Release: 06-05-2025
Reputation: 237090


Profile:
Join Date: Sep 2014
Posts: 104,700
Last Update: None Rating: None
Attached Thumbnails
Click image for larger version

Name:	271.PNG
Views:	0
Size:	364.2 KB
ID:	2533148  
pizza_is_offline
Thanks: 7
Thanked 8,074 Times in 7,184 Posts
Mentioned: 6 Post(s)
Tagged: 0 Thread(s)
Quoted: 41 Post(s)
Rep Power: 127
pizza Reputation Uy Tín Level 10pizza Reputation Uy Tín Level 10pizza Reputation Uy Tín Level 10pizza Reputation Uy Tín Level 10pizza Reputation Uy Tín Level 10pizza Reputation Uy Tín Level 10pizza Reputation Uy Tín Level 10
pizza Reputation Uy Tín Level 10pizza Reputation Uy Tín Level 10pizza Reputation Uy Tín Level 10pizza Reputation Uy Tín Level 10pizza Reputation Uy Tín Level 10pizza Reputation Uy Tín Level 10pizza Reputation Uy Tín Level 10pizza Reputation Uy Tín Level 10pizza Reputation Uy Tín Level 10pizza Reputation Uy Tín Level 10pizza Reputation Uy Tín Level 10pizza Reputation Uy Tín Level 10pizza Reputation Uy Tín Level 10pizza Reputation Uy Tín Level 10pizza Reputation Uy Tín Level 10pizza Reputation Uy Tín Level 10pizza Reputation Uy Tín Level 10pizza Reputation Uy Tín Level 10pizza Reputation Uy Tín Level 10pizza Reputation Uy Tín Level 10pizza Reputation Uy Tín Level 10pizza Reputation Uy Tín Level 10
Reply

User Tag List



 
Lên đầu Xuống dưới Lên 3000px Xuống 3000px

VietBF Homepage Autoscroll

VietBF Video Autoscroll Portal

USA News Autoscroll Portall

VietBF WORLD Autoscroll Portal

Home Classic

Super Widescreen

Tin nóng nhất 24h qua

Tin nóng nhất 3 ngày qua

Tin nóng nhất 7 ngày qua

Tin nóng nhất 30 ngày qua

Albums

Total Videos Online
Lên đầu Xuống dưới Lên 3000px Xuống 3000px

Tranh luận sôi nổi nhất 7 ngày qua

Tranh luận sôi nổi nhất 14 ngày qua

Tranh luận sôi nổi nhất 30 ngày qua

10.000 Tin mới nhất

Tin tức Hoa Kỳ

Tin tức Công nghệ
Lên đầu Xuống dưới Lên 3000px Xuống 3000px

Super News

School Cooking Traveling Portal

Enter Portal

Series Shows and Movies Online

SERIES ONLINE 1

Donation Ủng hộ $3 cho VietBF
Lên đầu Xuống dưới Lên 3000px Xuống 3000px
Diễn Đàn Người Việt Hải Ngoại. Tự do ngôn luận, an toàn và uy tín. Vì một tương lai tươi đẹp cho các thế hệ Việt Nam hãy ghé thăm chúng tôi, hãy tâm sự với chúng tôi mỗi ngày, mỗi giờ và mỗi giây phút có thể. VietBF.Com Xin cám ơn các bạn, chúc tất cả các bạn vui vẻ và gặp nhiều may mắn.
Welcome to Vietnamese American Community, Vietnamese European, Canadian, Australian Forum, Vietnamese Overseas Forum. Freedom of speech, safety and prestige. For a beautiful future for Vietnamese generations, please visit us, talk to us every day, every hour and every moment possible. VietBF.Com Thank you all and good luck.

Lên đầu Xuống dưới Lên 3000px Xuống 3000px

All times are GMT. The time now is 02:41.
VietBF - Vietnamese Best Forum Copyright ©2005 - 2025
User Alert System provided by Advanced User Tagging (Pro) - vBulletin Mods & Addons Copyright © 2025 DragonByte Technologies Ltd.
Log Out Unregistered

Page generated in 0.12146 seconds with 15 queries