Bạn có bị khó chịu khi dù đã rất chăm chỉ vệ sinh răng miệng nhưng vẫn bị các mảng bám không thể sạch và để lại cao răng? Hãy thử ngày những tuyệt chiêu dưới đây, bạn có thể làm trắng răng hiệu quả chỉ bằng phương pháp vô cùng đơn giản đó! Có những điều khó tin sẽ xảy ra nếu bạn áp dụng đúng các công thức!
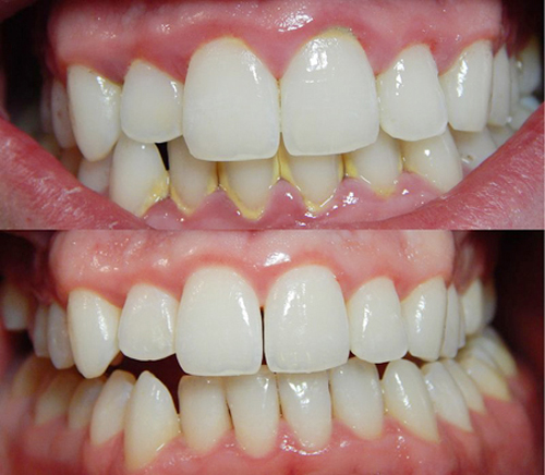
Muối và chanh

Muối và chanh giúp bạn làm trắng răng.
Bạn trộn đều nửa thìa cafe muối với 2 thìa cafe nước cốt chanh. Dùng hỗn hợp này đánh răng bằng bàn chải trong khoảng 3 - 5 phút. Nhớ chà răng thật nhẹ nhàng để tránh gây tổn thương đến lợi. Sau đó xúc miệng và đánh răng bằng kem đánh răng thông thường. Nếu mỗi tuần chăm chỉ thực hiện 2 - 3 lần, bạn sẽ sớm thấy kết quả bất ngờ đấy!
Bánh mỳ và kem đánh răng
Nguyên liệu: 1 cái bánh mỳ
Kem đánh răng
Cách làm: Nướng bánh mì cho tới khi vỏ bánh cháy đen. Cạo lớp cháy lấy 1 phần nhỏ và hòa lẫn với kem đánh răng, chà mạnh răng bằng hỗn hợp này trước khi đi ngủ. Với hỗn hợp này bạn không nên dùng thường xuyên mà chỉ dùng 2 lần/ tuần.Răng trắng lên trông thấy. Số vỏ cháy còn lại bạn hãy gói vào túi cất ở nới thoáng mát lần sau dùng với lấy ra trộn nếu không kem đánh răng sẽ dễ bị khô lại.
Thực phẩm gây hỏng răng
Đá lạnh
Việc nhai các cục đá lạnh là sở thích của không ít người, nhưng theo các bác sĩ nha khoa, đây là việc làm gây hại cho răng của bạn. Các viên đá lạnh rất cứng, nên nhai chúng có thể khiến bạn bị mẻ hoặc thậm chí gãy răng. Ngoài ra, mức độ lạnh của viên đá cũng có thể khiến răng của bạn dễ bị ê buốt hơn.
Hoa quả sấy khô
Hoa quả sấy khô là món ăn vặt hấp dẫn, song cũng là kẻ thù đối với bộ nhai của bạn. Ngoài việc chưa cùng lượng đường như hoa quả tươi, hoa quả khô còn nhớt dính hơn và dễ bám vào răng của bạn hơn. Nếu bạn ăn nhiều hoa quả sấy khô và không đánh răng, bạn có nguy cơ cao bị sâu răng.
Kẹo dẻo, chua
Kẹo chua còn tồi tệ hơn kẹo ngọt, vì không chỉ chứa nhiều đường, chúng còn thường được cho thêm axit citric dễ ăn mòn men răng. Trong khi đó, các loại kẹo dẻo bám chặt vào răng lâu hơn. Nhìn chung, tính chua, dẻo và đường ngọt là bộ ba kẻ thù không đội trời chung của hàm răng chắc, khỏe.